Case Report
Pneumomediastinum: A Rare Complication of Polyarteritis Nodosa. Thinking Outside the Box!
Sangita Kamath1* and B S Rao2
1Department of Medicine, Consultant, Tata Main Hospital, India
2Department of Medicine, Senior Specialist & HOD, Tata Main Hospital, India
*Address for Correspondence: Sangita Kamath, Consultant, Department of Medicine, Tata Main Hospital, India, Tel: +917763807130; E-Mail: dr.sdkamath@gmail.com
Dates: Submitted: 11 July, 2017; Approved: 25 July, 2017; Published: 25 July, 2017
Citation this article: Kamath S, Rao BS. Pneumomediastinum: A Rare Complication of Polyarteritis Nodosa. Thinking Outside the Box! Int J Case Rep Short Rev. 2017;3(2): 031-034.
Copyright: © 2017 Kamath S, et al. This is an open access article distributed under the Creative Commons Attribution License, which permits unrestricted use, distribution, and reproduction in any medium, provided the original work is properly cited.
Keywords: Chest Pain; Crepitus; Vasculitis; Angina
Abstract
We report here a rare case of a 60 year old female patient, a case of Polyarteritis Nodosa (PAN), who presented with complaints of severe retrosternal chest pain. Her ECG showed ST-T changes in lateral chest leads suggestive of ischemia. She was treated on the lines of Acute Coronary Syndrome (ACS). However, on re-evaluation, she was diagnosed to have pneumomediastinum on chest x ray and CT thorax. She improved on conservative management and her ECG changes reverted back to normal. Her coronary angiography was normal. This case highlights the rare complication of PAN, significance of diligent clinical examination and makes one aware of the ECG mimics of acute coronary syndrome.
Introduction
Polyarteritis Nodosa (PAN) is a multisystem, inflammatory disease characterised by involvement of the skin, peripheral nerves, joints, gut and kidney. Lung involvement is rare. We report an interesting case of pneumomediastinum, an extremely rare complication of PAN while on treatment with misleading ECG changes of Acute Chest Syndrome (ACS) on presentation. Patient presented with anginal type of chest pain with typical ST-T changes in lateral chest leads suggestive of acute ischemia. However, laboratory studies and echocardiography demonstrated no evidence of myocardial injury, and the electrocardiographic abnormalities promptly resolved with resolution of the pneumomediastinum.
Case Report
A 60 year old lady was admitted with sudden onset of severe, central chest pain radiating to the neck and back for 1 day. There was no history of trauma, cough, or vomiting. She did not have similar episode in the past. She did not have past history of angina or bronchial asthma. She was a diagnosed to have PAN one year back and was on oral prednisolone 20 mg and azathioprine 50 mg once a day. Clinical examination revealed dyspnoeic, afebrile, patient with mild pallor and no cyanosis, clubbing, lymphadenopathy or pedal edema. There were scars of healed ulcers over her finger tips and ankles. Her respiratory rate was 20/ min, pulse rate 120/ min, low volume, and blood pressure was 110/ 70 mm of Hg. Systemic examination did not reveal any abnormality except for few basal crepitations in both the infrascapular regions.
Her blood investigation revealed haemoglobin of 9.5 gm/ dl with microcytic, hypochromic RBCs. Rest of the parameters like total leucocyte count, liver function test, renal function tests and urine examination were within normal limits. Her C- reactive protein (CRP) was 3.4 mg/ dl while ESR (Westergren method) was 34 mm 1st hour. Electrocardiogram (ECG) on admission (Figure 1) showed ST depression in V3-V6 suggestive of anterior wall ischemia. A provisional diagnosis of Acute Coronary Syndrome (ACS) was made in view of the multiple risk factors and she was treated with dual antiplatelets (aspirin and clopidogrel), beta blockers, high dose of statins, heparin subcutaneously, morphine and oxygen. Her chest pain, however, persisted.
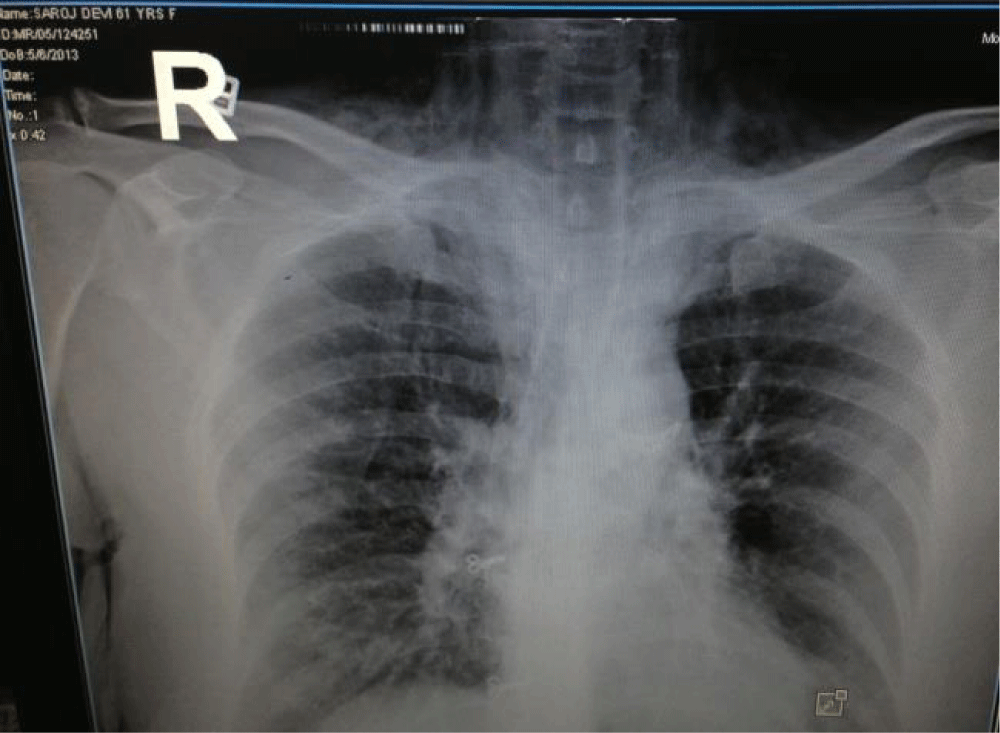
On day two, a swelling was noticed in the lower neck with crepitus on palpation suggestive of subcutaneous emphysema (Figure 2). She also complained of breathing difficulty. An urgent chest x ray was done (Figure 3) which revealed subcutaneous emphysema over lower neck, pneumomediastenum with clear lung fields without pneumothorax. Contrast Enhanced CT Scan (CECT) of thorax showed air density around trachea suggestive of pneumomediastinum (Figure 4). Lung parenchyma showed interstitial fibrosis with honey combing in basal segments of lower zones bilaterally. Her Creatine Kinase-MB values of blood samples taken 6 hours apart were within normal limits and echocardiography did not show Regional Wall Motion (RWMA) abnormality.
Her treatment for ACS was immediately stopped. She was managed with supplemental high flow oxygen and analgesics. Her immunosuppressive therapy was continued. She made an uneventful recovery and was discharged after 10 days and is doing well at follow up. Her chest radiograph done 10 days later showed resolution of the pneumomediastenum with resolution of ECG changes to normal (Figure 5). Coronary Angiography (CAG) done subsequently was normal.
Discussion
This report describes a rare case of Spontaneous Pneumomediastinum (SPM) with ECG abnormalities in a patient of PAN. It has also been reported in association with other connective tissue diseases such as Systemic Lupus Erythematosis (SLE), dermatomyositis and polymyositis. Pneumomediastinum is characterized by free air in the mediastinum not preceded by thoracic trauma, surgery, or any other medical procedure [1]. It is caused by alveolar rupture or rupture of airways with subsequent air leakage dissecting along the bronchovascular sheaths towards the mediastinum (Macklin effect) [1,2]. It primarily affects young males, though our patient was an elderly female. It typically presents with sudden onset substernal chest pain, often radiating to the neck and arms, dyspnoea, a change in the voice and dry throat. Mediastenal crunch (Hamman’s sign), fine auscultatory crepitations synchronous with heart beat may be heard along the left sternal border [2] and may be associated with subcutaneous emphysema. Conventional chest x ray and CT thorax are diagnostic. This condition should be distinguished from other pathologies such as acute coronary syndrome, aortic dissection, pulmonary embolism, pneumopericardium and esophageal rupture. It is usually self-limiting. Management includes avoidance of exacerbative factors and close observation with supportive treatment [2].
Pneumomediastinum has been associated with a variety of ECG findings (in 25% of the patients), including tachycardia, electrical alternans, T-wave inversion, loss of R-wave progression in anterior leads, low voltage QRS and even STEMI [3]. More commonly reported ECG changes are T-wave inversions and loss of R-wave progression in the anterior leads. Our patient’s ECG, however, showed diffuse ST segment depression in the chest leads suggestive of unstable angina. Proposed mechanisms for these changes include the insulating effects of air, alterations in the pendular motion of the heart and rotation of the heart [4].
PAN is a systemic necrotizing vasculitis involving medium and small muscular arteries. It commonly affects the skin, peripheral nerves, joints, gut and kidney. Coronary artery involvement due to coronary arteritis can cause thrombosis, dissections, stenosis and possible myocardial infarction. It was documented by Mavrogeni S, et al. [5] in 50% of patients with PAN. In our patient, however, there was no involvement of the coronaries, as CAG was entirely normal and the ECG changes were entirely due to the pneumomediastenum.
Pulmonary involvement in PAN is strikingly rare. In a study of a series of 111 proven cases of PAN done by Rose GA, lung involvement was found in about one-third cases in form of interstitial pneumonia, Diffuse Alveolar Damage (DAD) and bronchial arteritis [6]. Also in another study of lung involvement in PAN by MCDT and MRI by Ivkovic A, et al. in 181 patients, 37 patients had interstitial fibrosis with honey combing. A few patients had organizing DAD. Pulmonary circulation was spared. An extensive literature search revealed a retrospective study by Zhang, et al. [7] on the survival analysis and study of risk factors for mortality in Connective Tissue Disease (CTD) associated- pneumomediastenum. Of the 28 patients admitted over a 5 year period, 21 had dermatomyositis; two had polymyositis; three, SLE; one, PAN; and one had undifferentiated CTD. However, details of that case of PAN could not be traced. Also there are no documented case reports of pneumomediastinum in PAN. Pneumomediastinum has been linked to dermatomyocytis more frequently than it has been to any other autoimmune disease [8].
The mechanism of pneumomediastenum in PAN is not very clear. Various hypotheses have been proposed to explain the development of pneumomediastinum in connective tissue disorders. Association with cutaneous vasculitic ulcers has led to the hypothesis that involvement of small vessels due to vasculitis may result in ischemic necrosis of the bronchial wall resulting in air leak. Association of pneumomediastinum with ILD as the pre-existing disease has led to the suggestion of increased alveolar pressures in already diseased lungs causing rupture of previously existing sub pleural cysts or bullae [9]. However, our patient did not show any bullae on CT thorax. High dose corticosteroid use also has been implicated as it might lead to the weakening of the alveolar walls with subsequent rupture and air leak. Though our patient did not have the conventional risk factors such as instrumentation and cough, she had scars of cutaneous vasculitic ulcers with interstitial lung disease, was been treated with immunosuppressive therapy (steroids and azathioprine) and thus, was predisposed to develop pneumomediastinum. Our case illustrates a rare but potentially fatal complication of PAN, which fortunately had a favorable outcome.
To our knowledge, this is the first case of pneumomediastenum in patient with PAN with ECG changes mimicking ACS. Due to the overlap in their clinical features, and ECG findings but varying treatment modalities of both conditions, it is prudent to keep both the possibilities in mind, especially when patient does not respond to the treatment.
Conclusion
Pneumomediastinum in PAN is rare. Diagnosis requires high index of suspicion. It could be mistaken for ACS due to similar ECG changes and anginal type of chest pain. Frequent clinical assessment and doing an early chest x ray and CT scan of thorax is the key to its diagnosis. Early diagnosis and prompt treatment leads to favorable clinical outcome.
Declaration of patient consent
The authors certify that they have obtained all appropriate patient consent forms. In the form the patient has given her consent for her images and other clinical information to be reported in the journal. The patient understands that her names and initials will not be published and due efforts will be made to conceal her identity, but anonymity cannot be guaranteed.
References
- Sahni S, Verma S, Grullon J, Esquire A, Patel P, Talwar A. Spontaneous pneumomediastinum: time for consensus. N Am J Med Sci. 2013; 5: 460-4. https://goo.gl/rxzGCy
- Dionisio P, Martins L, Moreira S, Manique A, Macedo R, Caeiro F, et al. Spontaneous pneumomediastinum: Experience in 18 patients during the last 12 years. J Bras Pneumol. 2017; 43: 101-5. https://goo.gl/dJCtPM
- Brearley WD Jr, Taylor L, Haley MW, Littmann L. Pneumomediastinum mimicking acute ST-segment elevation myocardial infarction. Int J Cardiol. 2007; 117: 73-75. https://goo.gl/z4M8Ar
- Sakabe K, Fukuda N, Wakayama K, Nada T, Shinohara H, Tamura Y. Spontaneous pneumomediastium: A cause of T-wave inversion in electrocardiogram. Int J Cardiol. 2004; 94: 123–6. https://goo.gl/hdnDkw
- Mavrogeni S, Papadopoulos G, Douskou M, Kaklis S, Seimenis I, Baras P, et al. Magnetic resonance angiography is equivalent to X-ray coronary angiography for the evaluation of coronary arteries in Kawasaki disease. J Am Coll Cardiol. 2004; 43: 649-52. https://goo.gl/VN7eS3
- Matsumoto T, Homma S, Okada M, Kuwabara N, Kira S,Hoshi T, et al. The lung in polyarteritis nodosa: a pathologic study of 10 cases. Hum Pathol. 1993; 24: 717-24. https://goo.gl/zAhTa6
- Zhang L, Shen M, Zhang F, Tang F. Survival analysis and risk factors for mortality in connective tissue disease-associated pneumomediastinum. Rheumatol Int. 2014; 34: 1657-63. https://goo.gl/mSERkP
- Yoshida K, Kurosaka D, Kingetsu I, Hirai K, Yamada A. Pneumomediastinum in dermatomyositis itself is not a poor prognostic factor: report of a case and review of the literature. Rheumatol Int. 2008; 28: 913-7. https://goo.gl/BMMyy9
- Jain A, Misra DP, Jain VK, Negi VS. Spontaneous Pneumomediastinum in Dermatomyositis. Indian J Rheumatol. 2017; 12: 54-5. https://goo.gl/fT4Zsc
Authors submit all Proposals and manuscripts via Electronic Form!






