Case Report
Primary Pancreatic Tuberculosis Masquerading as Cancer – Case Reports and a Short Review
Maddibande R. Sreevathsa*
Department of Surgery, MS. Ramaiah Medical College Hospital, Gokula Post, Msrit, Bangalore, India
*Address for Correspondence: Maddibande R. Sreevathsa, Department of Surgery, M.S. Ramaiah Medical College Hospital, Gokula Post, Msrit, Bangalore-560054, India, Tel: +91-9845323003; E-Mail: chee_vaccha@yahoo.com
Dates: Submitted: 11 July, 2017; Approved: 31 July, 2017; Published: 02 August, 2017
Citation this article: Sreevathsa MR. Primary Pancreatic Tuberculosis Masquerading as Cancer – Case Reports and a Short Review. Int J Case Rep Short Rev. 2017;3(2): 035-038.
Copyright: © 2017 Sreevathsa MR. This is an open access article distributed under the Creative Commons Attribution License, which permits unrestricted use, distribution, and reproduction in any medium, provided the original work is properly cited.
Keywords: Extra pulmonary tuberculosis; Peri-pancreatic lymphadenopathy; Endoscopic ultrasound guided fine needle aspiration cytology; Anti-tubercular drugs; Pancreatic cancer; Pancreatic Tuberculosis; CT Scan
Abstract
Primary tuberculosis of the pancreas is a rare entity and less than 100 cases have been reported worldwide in the English literature. In most cases this entity presenting as a mass lesion in the pancreas on imaging, masquerade as carcinoma of pancreas. We report 2 cases of primary pancreatic tuberculosis, a 45 year old male and a 58 years old female presenting with abdominal pain and weight loss, with the first patient presenting in addition with fever and obstructive jaundice. Both patients on imaging were diagnosed as cancer of the pancreas (head and body respectively) and underwent laparotomy for planned resection. In both patients the tumor was found inoperable and hence incision biopsy was done. Biopsy confirmed tuberculosis on histopathology. Both patients were treated with anti- tubercular drugs and were totally symptom free at one year after treatment. The literature is reviewed.
Abbreviations
TB: Tuberculosis; EUS-FNAC: Endoscopic Ultrasound Guided-Fine Needle Aspiration Cytology; EPTB: Extra-Pulmonary Tuberculosis; AIDS: Acquired Immune Deficiency Syndrome; CECT: Contrast Enhanced Computerised Tomography; MRI: Magnetic Resonance Imaging; PET: Positron Emission Tomography; ATD: Antituberculous Drugs; FNAC: Fine Needle Aspiration Cytology; PPTB: Primary Pancreatic Tuberculosis; CBD: Common Bile Duct; PD: Pancreatic PD: Pancreatic Duct; PCR: Polymerase Chain Reaction
Introduction
Primary pancreatic infection with tuberculosis which includes peri-pancreatic lymphadenopathy is a rare entity and it accounts for 2.1-4.7% of all tuberculosis patients with less than 100 cases reported so far [1]. From India, SK Bhansali, [2] in an analysis of 300 cases of abdominal tuberculosis reported no case of pancreatic tuberculosis. Pancreatic tuberculosis can masquerade as pancreatic cancer or other mass lesions of pancreas. The symptoms are usually abdominal pain, anorexia, weight loss, fever, rarely backache and jaundice. Endoscopic ultrasound guided FNAC is the investigation of choice and can result in avoidance of laparotomy for the diagnosis. The condition is eminently treatable by drugs. The authors report two cases of primary pancreatic tuberculosis seen in 36 years of their surgical practice.
Materials and Methods
Case 1
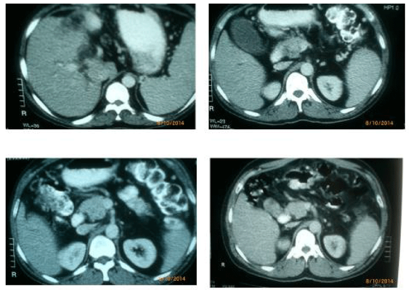
A 45 year old, diabetic male patient presented with upper abdominal pain, significant weight loss and obstructive jaundice of 2 months duration. He also had fever with chills of 25 days duration. There was no history of pulmonary or lymph nodal tuberculosis in the past. Liver function test was found to be altered and in favor of obstructive jaundice. CECT abdomen revealed a irregular hypodense mass in the pancreatic head with infiltration of the uncinate process and was abutting superior mesenteric vein (Figure 1). The Common Bile Duct (CBD) was found to be grossly dilated and Pancreatic Duct (PD) marginally. Upper GI Endoscopy showed no ampullary lesion or narrowing of the 2nd part of the duodenum. CA 19-9 was 36.5 U/ ml. Chest x-ray was normal. He underwent laparotomy where in a mass lesion was found in the head and uncinate process of the pancreas, with infiltration of the Superior Mesenteric Vein (SMV). There was hepatomegaly with dilated peri-gastric collaterals. Incision biopsy was taken from the uncinate process. Roux-en-Y choledocho-jejunostomy was done to relieve jaundice. Histopathology revealed numerous caseating epithelioid granulomas amongst pancreatic acini suggestive of pancreatic tuberculosis. No acid fast bacilli were seen. The tissue was not subjected to culture, but tissue polymerase chain reaction assay was positive for mycobacterial DNA. Postoperatively patient recovered uneventfully and was administered anti-tuberculous therapy for 9 months, which consisted of pyrazinamide, ethambutol, rifampicin, isoniazide for two months followed by isoniazide + rifampicin for rest of the period. Serum bilirubin reduced to 11.7 mg% from 3.77 mg% in 3 weeks. At one year post- surgery, the patient was asymptomatic and had improved his weight. CT scan repeated at one year also showed complete resolution of the head mass. At 3 years follow-up he was well and asymptomatic (Figure 2).
Figure 1: Contrast enhanced abdominal CT scan showing mass in the head of the pancreas with its close relationship to superior mesenteric vein. Also seen is the distended gall bladder.
Case 2
A 68 year old female presented with severe epigastric pain of 3 months duration with loss of 5 kgs of weight (10% of the body weight) since then. There was no history of pulmonary or lymph nodal tuberculosis in the past. The liver function tests and blood counts were normal. CECT abdomen showed an irregular hypodense mass in the body of the pancreas measuring 5 x 8 cm with no calcification or peri-pancreatic lymphadenopathy. CA 19-9 was 58.0 U/ ml. Chest x-ray showed no abnormality. On laparotomy, the tumor was found to be inoperable, with a nodular, hard, mass in the body of the pancreas infiltrating widely. Incision biopsy was taken from the mass. Histopathology revealed lymph nodal tissue with a peripheral zone of scanty pancreatic acini. There were innumerable caseating epithelioid granulomas indicative of peri-pancreatic tuberculous lymph adenopathy. Tissue staining also revealed acid fast bacilli on Ziehl-Neelsen stain. Tissue culture was not done. She was administered anti-tuberculous therapy for 9 months which was similar to the regime followed in the first case. On follow-up there was resolution of the pain abdomen in 3 months and she had gained weight. After 5 years follow-up she was well and healthy.
Discussion
Amongst the extra-pulmonary sites of TB, abdomen is the 6th most common location [3]. But primary pancreatic tuberculosis is an extremely rare condition which is explained to be due to antimicrobial effects of pancreatic lipases, deoxyribonucleases, and other pancreatic enzymes [4]. Also pancreas being in the retro-peritoneum is protected from environmental exposures [5]. The organ is also relatively resistant to microbial invasion unless it is damaged by heavy alcohol consumption. Pancreatic involvement by tuberculosis or peri-pancreatic TB lymphadenopathy primarily, has been reported to be in the range of 2.1-4.7% [6-8]. Auerbach, [7] was the first to report pancreatic TB in his series of 1,656 autopsies done on TB patients. Poraschaudhary, et al. [3] from India have reported five cases of pancreatic tuberculosis seen over a period of ten years out of which only one was isolated tuberculosis of pancreas. However Dr. SK Bhansali, [2] from India has not recorded any case of pancreatic involvement amongst the 300 patients of abdominal TB treated by him. Pancreatic TB is occasionally observed in patients, along with other organ involvement as a consequence of military TB or disseminated EPTB [7]. But Primary Pancreatic TB (PPTB) is described as an isolated involvement of pancreas by Mycobacterium tuberculosis in the absence of involvement of any other organ or previously detected TB [9,10].
Tan KK, et al. [11] observed that primary pancreatic TB might be identified in one of the following patient types: i) patients residing in the endemic area, ii) patients with widespread TB dissemination such as military tuberculosis and iii) immune compromised patients. But Xia et al report 16 cases of pancreatic tuberculosis who were immune-competent. The routes of spread of mycobacterium tuberculosis to pancreas is postulated to be either directly from involved peri-pancreatic lymph nodes or by haematogenous route [11].
In 1996, pancreatic TB was categorised radiologically by Takhtani D, et al. [12] into three types: 1) mass forming (with or without diffuse pancreatic enlargement); 2) diffuse form; and 3) small nodular form. They observed the first type to be the commonest. The specific site involvement of pancreas in TB, has been reported by Crowson MC et al with the following frequency [13,14]: head, 29-74.4 %; body, 7-17.9 %; uncinate process, 3-7.7%; tail, 2-5.1 %. The pancreatic TB and peri-pancreatic TB lymphadenopathy has been reported to present with wide spectrum of symptoms which includes epigastric pain: 31-79.5%, anorexia and weight loss: 19-48.7% to 69%, fever: 20-51.3%, jaundice: 8-20.5% to 31%, backache: 38% [15,16].
It is difficult to diagnose pancreatic tuberculosis by any imaging modality as it shows up in a wide ranging manner as heterogeneous lesion, like mass or cystic or necrotic areas in pancreas. CECT scan of pancreas show a hypodense or hypovascular mass with irregular margins and peripheral enhancement with or without areas of central enhancement [3]. Tuberculous lymph nodes may show as lesions of central hypodensity with peripheral enhancement [17,18]. Peri-pancreatic lymph node enlargement in tuberculosis can be mistaken on imaging for variety of lesions in the pancreas like pancreatic carcinoma, cystic neoplasms, pancreatic pseudo-tumor, acute/ chronic pancreatitis and lymphoma [19,20]. Even on PET scan, TB of pancreas is sometimes indistinguishable from pancreatic carcinoma as the isotope uptake can be as high as in cases of carcinoma pancreas [21]. In such cases Endoscopic Ultrasound (EUS) or per-cutaneous CT guided biopsy can sample the tissue from the mass for histological proof to differentiate one disease from the other. The deep lesions are difficult to access for sampling and needle biopsy has a false positive rate of 58% [22]. But the EUS guided FNAC of the pancreatic mass where diagnosis of carcinoma is not certain on imaging, seems a safe and a reliable procedure. Also the tissue can be stained for acid-fast bacilli and subjected to culture for the same. EUS guided FNAC has a sensitivity of 64-98%, specificity of 80-100% and PPV of 98-100% [23]. Song et al were able to diagnose pancreatic and peri-pancreatic TB in 76.2% of patients with a pancreatic mass where TB was suspected, using EUS-FNAC [24]. The American Joint Commission Cancer recommends EUS-FNA as the preferred diagnostic modality for identifying the histology of pancreatic masses [25]. For lesions < 3cm in size EUS guided FNAC has an accuracy which is better than CT guided biopsy and for bigger lesions than this their accuracy is similar to CT guided FNAC [26]. However it should be remembered that not every sample of EUS FNAC obtained tissue can confirm TB microbiologically [27]. The role of Polymerase Chain Reaction (PCR ) in making diagnosis of tuberculosis on FNAC specimen has been discussed by many authors when conventional methods of the analysis of the tissue fails to confirm tuberculosis. Meesiri, et al. [30] found in an analysis of 43 cases that when PCR was done, it was 100% accurate in confirming tuberculosis in four out of four cases. Even though the specificity of PCR is high its sensitivity for FNAC samples is low [15].
Dhaval Gupta, et al report a case of primary TB of pancreas head which was hypodense on CT scan with double duct sign, with invasion portal vein, mimicking the pancreatic carcinoma. This presentation was similar to our first case. Vascular invasion and dilatation of both pancreatic duct, common bile duct is rare in pancreatic tuberculosis. But as the CT scan in their patient showed multiple peri-portal and pancreatic lymph nodal enlargement, they confirmed the diagnosis of tuberculosis by US guided biopsy of the head lesion [28]. Vascular invasion though very rare, has been reported also by Shabnam Shahrokh, et al. [15] in an analysis of 39 cases. In pancreatic TB, CBD and PD should appear normal on images, even if the mass is localised centrally in the head of the pancreas. Crowson et al have also reported that in pancreatic tuberculosis, dilatation of the common bile duct and intrahepatic biliary canaliculi is rare [13]. In our case number 1, we found gross dilatation of the common bile duct and intrahepatic biliary canaliculi. De Baches AJ, et al. [29] observe that pancreatic enlargement with heterogeneous enhancement with narrowing of the main PD as the characteristic finding in the diffuse form of the pancreatic TB. They surmise that bile cytology obtained, after cannulation of bile duct might help in establishing the diagnosis in such cases.
Velliyappilli cherian, et al report a jaundiced patient with a presentation similar to our first case, where but a cystic neoplasm of pancreas was considered as the diagnosis on CECT. MRI done on this patient helped them in making the diagnosis of peri-pancreatic lymphadenopathy. Further the patient was found to have a supra-clavicular node enlargement, biopsy of which confirmed tuberculosis. Obstructive jaundice in pancreatic TB is reported to occur in a frequency varying from 8% to 20.5% and 31% [15,16]. There are reports of pancreatic resection in cases of tuberculosis of pancreas which mimicked cancer [8]. Xia, et al. [16] has reported that laparotomy was performed in 12 out of 16 patients for making the diagnosis of pancreatic tuberculosis by incision biopsy. Meesiri, et al. [30] in a systematic review of pancreatic tuberculosis with AIDS conclude that in those patients where a tuberculous pancreatic mass is identified and continues to cause symptoms even after ATD therapy for reasonable period of time, one should consider minimally invasive procedures like endoscopic internal drainage or percutaneous biliary stenting for relief of symptoms.
Tertiary care hospitals operating in endemic areas of TB, should keep differential diagnosis of TB when a pancreatic head mass is encountered on CT. It may be wise practise in endemic areas of TB, to undertake EUS guided biopsy to rule out pancreatic TB, thus avoiding laparotomy for diagnosis, when a pancreatic head mass is encountered on imaging, as management of the pancreatic TB is eminently medical (anti-tuberculous therapy).
References
- Nagar AM, Raut AA, MoraniAC, Sanghvi DA, Desai CS, Thapar VB. Pancreatic tuberculosis: a clinical and imaging review of 32 cases. J Comput Assist Tomogr. 2009; 33: 136-141. https://goo.gl/yooV9Q
- Bhansali SK. Abdominal tuberculosis, Experiences with 300 cases. Am J Gastroenterol. 1977; 67: 324-337. https://goo.gl/wVcXNF
- Chaudhary P, Bhadana U, Arora MP. Pancreatic Tuberculosis. Indian J surg. 2015; 77: 517-524. https://goo.gl/LKmNZ3
- Porter AE. The bacteriolytic action of the gland extracts on tuberculosis bacilli. J Hyg (Lond). 1917; 16: 55-65. https://goo.gl/WSqSzx
- Day A, Gibbs W. The action of pancreatic juice on bacteria. J infectious Diseases 1930; 46: 26-30. https://goo.gl/nj6EgV
- Paraf A, Menager C, Texier J. Tuberculosis of pancreas and tuberculosis of the lymph node of the upper region of abdomen. Rev Med Chir Mal Foie. 1966; 41: 101-126. https://goo.gl/mbnbDU
- Auerbach O. Acute generalised military tuberculosis. Am J Pathol. 1944; 20: 121-136. https://goo.gl/KDz6rG
- BruggeWR, Mueller PR, Misdraji J. Case records of the Massachussets General Hospital. Weekly clinic-pathological exercises. Case 8-2004. A 28year old man with abdominal pain, fever and mass in the region of pancreas. N Engl J Med. 2004; 350: 1131-1138.
- Woodfield JC, Windsor JA, Godfrey CC, Orr DA, Officer NM. Diagnosis and management of isolated pancreatic tuberculosis: recent experience and literature review. ANZ J Surg. 2004; 74: 368-371. https://goo.gl/J7djDY
- MansoorJ, Umair B. Primary Pancreatic Tuberculosis: a rare and elusive diagnosis. J. Coll Physicians Surg Pak. 2013; 23: 226-228. https://goo.gl/wqvQij
- Tan K K, Chen K, Liau KH, Ho CK. Pancreatic Tuberculosis mimicking pancreatic carcinoma: Series of three cases. Eur J Gastroentrol Hepatol. 2009; 21: 1317-1319. https://goo.gl/K2f3zZ
- Takhtani D, Gupta S, Suman K, Kakkar N, Challa S, Wig JD, Suri S. Radiology of pancreatic tuberculosis: a report of three cases. Am J Gastroenterol. 1996; 91: 1832-1834. https://goo.gl/FMgoXP
- Crowson M C, Perry M, Burden E. Tuberculosis of Pancreas: A rare cause of obstructive jaundice. Br J Surg. 1984; 71: 239. https://goo.gl/ZWo6r9
- Teo LL, Venkatesh SK, Ho Ky. Clinics in diagnostic Imaging. Singapore Med J 2007; 48: 687-692. https://goo.gl/NNxpr6
- Shahrokh S, Miri MB, Safari MT, Houshang A, Alizadeh M. Pancreatic TB: An overview. JOP. 2015; 16: 232 – 238. https://goo.gl/6SWNxv
- Xia F, Poon RT, Wang SG, Bie P, Huang XQ, Dong JH. Tuberculosis of Pancreas and Peripancreatic lymph node in immunocompetent patients; Experience from China. World J Gastroenterol. 2003; 9: 1361-1364. https://goo.gl/mqSt4U
- Hoshino K, Arakaki S, Shibata D, Maeshiro T, Hokama A, Kinjo F, et al. Tuberculous lymphadenopathy mimicking pancreatic neoplasm. Case Resp Med. 2012; 579297. https://goo.gl/2hSu7S
- Jadvar H, Mindelzun RE, Olcott EW, Levitt DB. Still the Greater Mimicker: Abdominal Tuberculosis. AJR Am J Roentgenol. 1997; 168: 1455-1460. https://goo.gl/qm6chn
- Cherian JV, Somasundaram A, Ponnuswamy RP, Venkataraman J. Peripancreatic Tuberculous lymph adenopathy. An imposter posing diagnostic difficulty. JOP. 2007; 8: 326-329. https://goo.gl/gWwjNS
- Weiss ES, Klein WM, Yeo CJ. Peripancreatic Tuberculosis mimicking pancreatic neoplasm. J Gastrointest Surgery. 2005; 9: 254-262. https://goo.gl/W4F6R1
- Santhosh S, Mittal BR, Rana SS, Srinivasan R, Bhattacharya A, Das A, et al. Metabolic signatures of Malignant and non malignant mass forming lesion in the periampulla and pancreas in FDGPET/CT scan: An atlas with pathologic correlation. Abdom Imaging. 2015; 40: 1285-1315. https://goo.gl/fdvnzp
- Hartwig W, Schneider L, Diener MK, Bergmann F, Büchler MW, Werner J. Pre – operative tissue diagnosis for tumour of pancreas. Br J Surg. 2009; 96: 5-20. https://goo.gl/4vvy3e
- Antillon MR, Chang KJ. Endoscopic and Endosonography guided fine-needle aspiration. Gastroitest Endosc Clin N Am. 2000; 10: 619-636.
- Song TJ, Lee SS, Park do H, Lee TY, Lee S, Seo DW, et al. Yield of EUS guided FNA on diagnosis of pancreatic and peripancreatic Tuberculosis. Gastrointest Endosc. 2009; 69: 484-491. https://goo.gl/EMGXmW
- Greene F C, Page D L, Fleming F D, Fritz A G, Balch C M, editors. AJCC Cancer staging handbook 6thed. New york. Springer-Verlag 2002. Exocrine pancreas 182pp
- Volmar KE, Vollmer RT, Jowell PS, Nelson RC, Xie HB. Pancreatic FNA in 1000 cases: A comparison of imaging modalities. Gastrointest Endosc. 2005; 61: 854-861. https://goo.gl/2iHX7G
- Brusho G, MehinWS, Fronker JJ, Ellison E C. Pancreatic Tuberculosis. Am Surg. 1995; 61: 513-513.
- Gupta D, Patel J, Rathi C, Ingle M, Sawant P. Primary pancreatic head tuberculosis: Great masquerades of Pancreatic adenocarcinoma. Gastroenterology Res. 2015; 8: 193-196. https://goo.gl/7vJftY
- De Backer AI, Mortele KJ, Bomans P, De Keulenaer BL, Vanschoubroeck IJ, Kockx MM. Tuberculosis of pancreas, MRI features. AJR Am J Roentogenol. 2005; 184: 50-54. https://goo.gl/3nfxwJ
- Meesiri S. Pancreatic Tuberculosis with acquired immunodeficiency syndrome: A case report and systematic review .World J Gastroenterol. 2012; 18: 720-726. https://goo.gl/z7ZJw3
Authors submit all Proposals and manuscripts via Electronic Form!


