Case Report
Extensive Subcutaneous Co2 Deposition during Microwave Ablation of a Renal Cell Carcinoma: A Case Report
David L. Manuel, Aaron Harman and Ducksoo Kim*
Boston VA Health Care, Boston University School of Medicine (DM and DK), Boston, MA 02132, and UMass Memorial Health Care, University of Massachusetts Medical School, Worcester, MA 01615
*Address for Correspondence: Boston VA Health Care, Boston University School of Medicine (DM and DK), Boston, MA 02132, and UMass Memorial Health Care, University of Massachusetts Medical School, Worcester, MA 01615, E-mail: ducksookim@gmail.com
Dates: Submitted: 22 July, 2017; Approved: 24 August, 2017; Published: 26 August, 2017
Citation this article: Manuel DL, Harman A, Kim D. Extensive Subcutaneous Co2 Deposition during Microwave Ablation of a Renal Cell Carcinoma: a Case Report. Int J Case Rep Short Rev. 2017;3(3): 039-043.
Copyright: © 2017 Kim D, et al. This is an open access article distributed under the Creative Commons Attribution License, which permits unrestricted use, distribution, and reproduction in any medium, provided the original work is properly cited.
Abstract
Nonoperative management of renal cell carcinoma was first described approximately 20 years ago [1-5]. There are multiple modalities to nonoperatively treat renal cell carcinoma, including radiofrequency ablation, (RFA), cryogenic ablation, and microwave ablation. Multiple studies have demonstrated decreased morbidity with nonoperative treatment [6-7]. We report a complication from a C02 microwave ablation that, to our knowledge, has never been described in the English literature. Management of the complication is discussed. The patient had a complete recovery without any deficits.
Patient Presentation
The patient is a 71 year old man with a history of a gastrointestinal stromal tumor (GIST) with s/ p tumor resection approximately three years prior to his presentation. A routine surveillance CT scan for his GIST tumor demonstrated a solid 1.8 cm exophytic left renal mass (Figure 1). After consultation with an urologist, the patient was scheduled for microwave ablation of the renal mass.
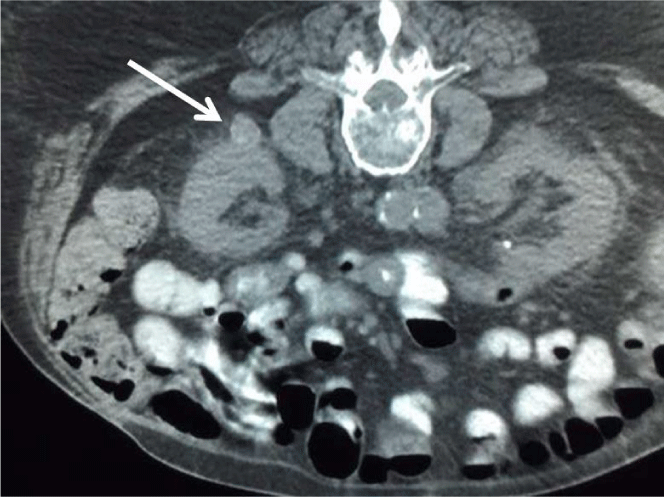
Figure 1: Axial CT scan of abdomen in a prone position shows an exophytic solid lesion (arrow; 1.7 cm in diameter, 46 Hounsfield units) arising from the left kidney.
His past medical history includes chronic kidney disease, diabetic nephropathy, chronic renal failure, coronary artery disease, myocardial infarction with percutaneous coronary intervention and placement of bare-metal stents(March 2014), coronary artery bypass surgery x2, aortic stenosis with status post aortic valve replacement (May 2014), transient ischemic attack, chronic obstructive pulmonary disease, history of anemia, depression, post-traumatic stress disorder, and the above-mentioned GIST tumor.
He was admitted for microwave ablation under general anesthesia.
A 17- gauge, 20 cm Neuwave PR probe (NeuWave Medical, Madison, WI) was used for the procedure. After the probe was placed with its tip in the tumor via left posterolateral approach under ultrasound guidance (Figure 2), a CT scan to check position of the probe with tissue-lock revealed a large amount of air in the left flank subcutaneous tissues as well as left perinephric free air (Figure 3). The microwave ablation probe was immediately taken out of the patient. Using Seldinger technique with an 18-gauge needle, an 8 French pigtail drainage catheter was placed into the left flank subcutaneous tissues over an Amplatz guidewire (Figure 4) and the CO2 was aspirated. Subsequently, an 18-gauge needle was advanced into the left perinephric space under CT guidance and a small to moderate volume of the CO2 was aspirated. The ensuing CT scan demonstrated interval decrease in amount of CO2 in the left flank subcutaneous and left perinephric space. The subcutaneous pigtail drainage catheter was removed while the patient was still on the CT table.
Figure 2: A 17-gauge PR probe was placed via left posterolateral approach with its tip in the renal tumor.
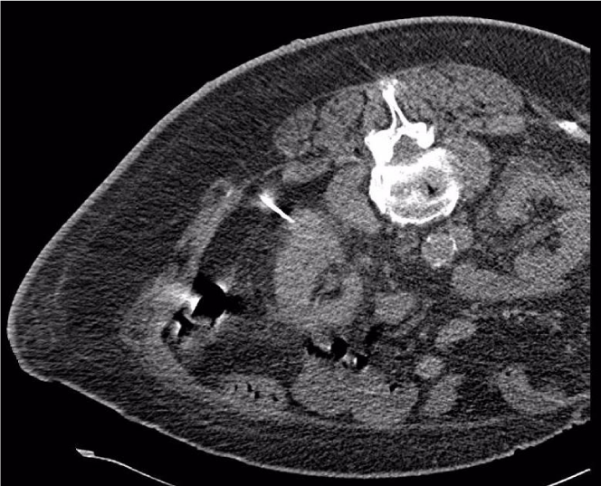
Figure 3: Leakage of gas into the left retroperitoneal and subcutaneous spaces (cursor) during ablation with a 17-gauge PR probe (arrow). Note that the tip of the probe (arrow) is moved out of the lesion due to the gaseous expansion of the probe tract.
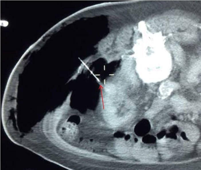
Figure 4: Placement of an 8-Fr. pigtail catheter (arrow) into the left subcutaneous space for evacuation of gas.
The microwave ablation probe was inspected and a break in the probe was noted (Figure 5). The probe was saved and sent to the manufacturer after reporting to the patient safety department at VA.
A new ablation probe was then used for the procedure. A 13-gauge needle was used to gain access into the left renal lesion. Through this introducer, 20 cm microwave ablation PR probe was advanced into the lesion. The left renal lesion was ablated for 7 minutes at 65 W; CT imaging during the ablation demonstrated ablation probe in good position (Figure 6). Post ablation CT demonstrated air density within the left renal lesion consistent with successful ablation (Figure 7). Additionally, there has been marked interval decrease in left flank subcutaneous and left perinephric air.
Figure 6: After evacuation of gas, a 17-gauge microwave ablation probe placed in the left renal tumor (arrow).
Figure 7: After ablation of the tumor, CT scan of the abdomen shows shrinkage of the tumor with typical post-ablation intra- and peri-tumoral gaseous density (arrow). Note the significant interval resolution of the subcutaneous and retroperitoneal gas.
Upon his recovery from the general anesthesia, the patient had no symptoms such as pain, discomfort or difficulty breathing. The elevation in care, and defect in the probe were completely disclosed to the patient.
His vital signs remained stable during the procedure and after the procedure. The patient was admitted to a regular floor as planned before the procedure.
Post-procedure, the patient developed a moderate perinephric hemorrhage and was transfused one unit of packed red blood cells.
Discussion
Case 1
As cross sectional imaging has become more widely used, renal cell carcinoma has been detected at smaller and smaller sizes, often incidentally. Although partial nephrectomy is the standard of care, many patients are deemed by urologists not to be operative candidates either due to advanced age, comorbidities rendering surgery potentially risky, or impairment of renal function. Our patient, who was found to have a stage T1a N0 M0 1.8 cm renal cell carcinoma, had a significant cardiac history as well as chronic kidney disease due to diabetic nephropathy. In patients such as this, percutaneous thermal ablation has been shown to be a generally safe and effective treatment alternative.
Most experience with percutaneous thermal ablation of renal cell carcinoma comes from radiofrequency ablation and cryoablation [1-3,7]. Microwave ablation has more recently been utilized in the treatment of renal cell carcinoma [8]. While long term efficacy data are not available at this time, early results suggest that microwave ablation is also a safe and effective modality [9,10].
Major complications due to microwave ablation of renal tumors are rare. Dong et al. evaluated 119 patients following microwave ablation of renal tumors and found that microscopic hematuria was the most common complication, with other complications related mostly to injury of adjacent structures [8].
We have presented a case of extensive subcutaneous carbon dioxide deposition as a result of a microwave ablation probe broken during the procedure. To our knowledge, this has not been previously described. The device used, the NeuWave Certus, is the only widely-used gas-cooled microwave ablation system, using pressurized carbon dioxide to freeze tissues through the Joule-Thompson effect. The air core technology allows for rapid cooling of the antenna to a) prevent heating of the feed cable or peripheral tissues and b) lock the antenna to the tumor, minimizing the chance of migration [11].
Cryotherapy probes similarly utilize the Joule-Thompson effect to freeze tissues, using argon gas instead of carbon dioxide. The manufacturer, Galil Medical, which produces cryotherapy probes, recommends that if a cryoablation needle inadvertently strikes bone, it should not be used and should be removed from the patient [11].
Before the microwave antennae are introduced into patients, they are tested for physical defects which would allow gas to escape. This is done by submerging the active tip of the probe into saline, initiating a test freeze, and watching the water for bubbles. If bubbles are seen, the probe would be considered defective and be returned to the manufacturer. In our case, no bubbles were identified during the test freeze.
The smallest caliber microwave probe in clinical use is 17 gauge. Although lower profile probes have the benefit of increased patient comfort, they sacrifice rigidity and are therefore more prone to deflection by soft tissues. As a result, they carry a higher risk of stress fatigue and breakage. Our patient was morbidly obese and the initial 17-gauge Neuwave PR probe traversed 12 cm of soft tissue before reaching the renal lesion. At such depths, the needle was difficult to direct, subjecting it to increased physical stresses and eventual disruption. After the problem with the initial probe was identified and addressed, a 13-gauge metallic introducer was placed, which facilitated the placement of a new 17-gauge microwave probe into the lesion.
Carbon dioxide is an inert gas and, in and of itself, is harmless within the body. It is of course a byproduct of normal metabolic processes and is transported out of the body through the respiratory tract. In the past it has been used intravascular to perform peripheral angiographies. It is still commonly used to perform portal venograms during the creation of Transjugular Intrahepatic Portosystemic Shunts (TIPS) [12]. In surgery, is also used to insufflate the abdomen during laparoscopic procedures.
Although it is likely that the subcutaneous carbon dioxide would have been clinically insignificant, we elected to aspirate the gas through a pigtail catheter. If extensive enough, the carbon dioxide could theoretically cause some degree of subcutaneous fat necrosis. Also, increased retroperitoneal pressure from perinephric carbon dioxide could theoretically compress the kidney and impair renal perfusion if severe enough and left untreated for long enough. Metabolic disturbances could also occur, as the carbon dioxide is converted in the blood to carbonic acid leading to respiratory acidosis, though this would require enough carbon dioxide to overcome the body’s natural buffers.
The most feared complication would be the embolization of gas to the pulmonary arteries, or cerebral arteries in patients with a right-to-left cardiac shunt. Sandomirsky, et al. [13] described a fatal case of argon gas emboli during prostate cancer cryotherapy due to gas leakage from a defective probe. A literature search at the time of this manuscript revealed no fatal cases of gas emboli related to microwave ablation.
Others have noted the inadvertent gas deposition during microwave ablation without probe disruption. Nakayama et al. demonstrated gas bubbles in the right atrium and right ventricle with transesophageal echocardiogram in patients undergoing either radiofrequency or microwave ablation of hepatocellular carcinoma, likely due to intravascular extension of gas originating from the ablation zone [14].
Given our experience described here, we would recommend utilizing a larger caliber microwave ablation probe, for example the 15-gauge Neuwave PR-XT, in obese patients. Such probes would give the operator greater control and decrease the risk of intraprocedural probe disruption.
Conclusions
We describe a case of inadvertent extensive carbon dioxide deposition into the subcutaneous tissues during microwave ablation of a renal tumor due to a disrupted microwave ablation probe. The gas was aspirated without difficulty and the patient remained stable. Our patient was morbidly obese, and the extensive soft tissues traversed by the 17-gauge microwave antenna rendered it difficult to direct, which subjected the probe to increased physical stress and eventual disruption. We suggest using a larger caliber microwave ablation probe in obese patients who may be at higher risk for probe fracture.
References
- Gill IS, Novick AC, Soble JJ, Sung GT, Remer EM, Hale J, et al. Laparoscopic renal cryoablation: Initial clinical series. Urology. 1998; 52: 543-551. https://goo.gl/cEtE4S
- Kigure T, Harada T, Yuri Y, Satoh Y, et al.Laparoscopic microwave thermotherapy on small renal cell tumors: experimental studies using implanted VX-2 tumors in rabbits Eur Urol. 1996; 30: 377-382. https://goo.gl/aGJHXR
- Williams JC, Morrision PM, Swishchuk PN, et al. Laser induced thermotherapy of renal cell carcinoma in man-dosimetry, ultrasound and histopathologic correlation. J Urol. 2000; 163: 9 (abstract 38). https://goo.gl/kaiW6T
- 4.Kohrmann KU, Michel MS, Gaa J, Marlinghaus E, Alken P. High intensity focused ultrasound as noninvasive therapy for multilocal renal cell carcinoma: Case study and review of the literature. J Urol. 2002; 167: 2397–403. https://goo.gl/5Brkzs
- Oosterhof GO, Smiths GA, de Ruyter AE, et al. In vivo effects of high energy shock waves on urological tumors: an evaluation of treatment modalities. J Urol. 1990; 144: 785-789. https://goo.gl/sGdU7c
- Atwell TD, Schmit GD, Boorjian SA, Mandrekar J, Kurup AN, Weisbrod AJ, et al. Percutaneous Ablation of Renal Masses Measuring 3.0 cm and Smaller: Comparative Local Control and Complications After Radiofrequency Ablation and Cryoablation. AJR Am J Roentgenol. 2013; 200: 461-466. https://goo.gl/tQyZQQ
- Taylor BL, Stavropoulos SW, Guzzo TJ.Ablative Therapy for Small Renal Masses. UrolClin N Am. 2017; 44: 223-231. https://goo.gl/DP3yCE
- Dong X, Li X, Yu J, Yu MA, Yu X, Liang P. Complications of ultrasound-guided percutaneous microwave ablation of renal cell carcinoma. Onco Targets Ther. 2016; 9: 5903-5909. https://goo.gl/B1wu1o
- Lin Y, Liang P, Yu XL, Yu J, Cheng ZG, Han ZY, et al. "Percutaneous microwave ablation of renal cell carcinoma is safe in patients with a solitary kidney." Urology. 2014; 83: 357-363. https://goo.gl/HC8MpV
- Bartoletti R, Meliani E, Simonato A, Gontero P, Berta G, Dalla Palma P, et al. "Microwave-induced thermoablation with Amica-probe is a safe and reproducible method to treat solid renal masses: results from a phase I study." Oncol Rep. 2012 ; 28: 1243-1248. https://goo.gl/vD43hF
- Galil Medical Visual Ice® Cryoablation System User Manual - IceRod 1.5X addendum. https://www.galilmedical.com/files/4614/5140/4201/MultiLanguage_IceRod_1.5_CX_Cryoablation_Needles_IFU_LGC15-NDL179-01.pdf).
- Kerns SR, Hawkins IF. Carbon dioxide digital subtraction angiography: expanding applications and technical evolution. AJR Am J Roentgenol. 1995;164: 735-741. https://goo.gl/iuRR7d
- Sandomirsky M, Crifasi JA, Long C, Mitchell EK. Case report of fatal complication in prostatic cryotherapy: First reported death due to argon gas emboli. Am J Forensic Med Pathol 2012; 33: 68-72. https://goo.gl/1HqPAJ
- Nakayama R, Yano T, Mizutamari E, Ushijima K, Terasaki H. Possible pulmonary gas embolism associated with localized thermal therapy of the liver. Anesthesiology 2003; 99: 227-228. https://goo.gl/heid8w
Authors submit all Proposals and manuscripts via Electronic Form!



