G. Baulier1* and N. Issa2
1Department of Clinical Immunology, Saint-André Hospital, Bordeaux, France
2Intensive Care Unit, Saint-André Hospital, Bordeaux, France
*Address for Correspondence: G. Baulier, Department of Clinical Immunology, Saint-André Hospital, Bordeaux, France, E-mail: gildasbaulier@hotmail.com
Dates: Submitted: 31 July, 2017; Approved: 24 August, 2017; Published: 26 August, 2017
Citation this article: Baulier G, Issa N. A Misleading Presentation of Pituitary Apoplexy. Int J Case Rep Short Rev. 2017;3(3): 044-045.
Copyright: © 2017 Baulier G, et al. This is an open access article distributed under the Creative Commons Attribution License, which permits unrestricted use, distribution, and reproduction in any medium, provided the original work is properly cited.
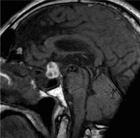
Clinical Image
A 77 year-old man with no significant medical history presented with sudden onset febrile headache and blurred vision. Clinical presentation was mimicking bacterial meningitis with nuchal rigidity, fever and hypotension. Clinical exam revealed variable left upperlid ptosis and diplopia. A lumbar puncture was immediatly performed. Cerebral spinal fluid analys is revealed an increased leukocyte count (73/μL), with neutrophilic granulocytes predominating (88%), increased total protein content (1.7 g/L), and glucose level 3.5 mmol/L. The gram staindid not demonstrate any microorganisms. CRP was elevated (184mg/L). Antibiotics were immediatly started (Amoxicillin and Ceftriaxon). The headaches, the diplopia and the general condition did not improve after 24 hours of antibiotics, an MRI of the brain was performed and showed a pituitary mass lesion compatible with pituitary macro-adenoma with intrinsic hemorrhage. High-dosage steroid therapy (Dexamethasone 10mg/6hours) was started on the hypothesis of pituitary apoplexy and his condition rapidly improved. The diagnosis was confimed biologically as pituitary functions were dramatically decreased (IGF-1: 63 ng/mL, GH: undetectable, TSH 0.02 µU/mL, free T4 16.9pmol/L, unadapted level of adrenocorticotrophic hormone (ACTH) 20pg/mL (2-50 pg/mL), basal cortisol 80 µmol/L (275-685 µmol/L), Follicle-Stimulating Hormone (FSH) 1.9 mU/mL (20-100 mU/mL), Luteinizing Hormone (LH) 0.3mU/mL (> 20 mU/mL), testosterone 0.11ng/mL (2.7-7.8 ng/ml) and prolactin 1 ng/L (3-25 ng/L). There was no initial sign of diabetes insipidus.
As osteodensitometry was normal and because of his age, no sexual hormone replacement the rapy was started. Thyroid function was closely monitored and no thyroid dysfunction appeared after. After a few days of Dexamethasone, he was treated for 3 months with prednisone and then substituted with hydrocortisone.
Surgical treatment was not needed as his neurological condition completeley recovered after 3 months of steroids. A second MRI showed dramatic decrease in size of the adenoma a month later. All the pituitary axis recovered after 3 months of steroid treatment except the corticotrop function. He is still on hydrocortisone 6 months later and is doing perfectly well
Authors submit all Proposals and manuscripts via Electronic Form!


