Yuko Harada1*, Michiko Handa2, Kazunori Koyama3, Toshihito Shinagawa4 and Matsuo Taniyama5
1Department of Internal Medicine, Shin-yurigaoka General Hospital
2Department of Internal Medicine, Kawasaki Municipal Ida Hospital
3Department of Internal Medicine, Division of Diabetes and Endoclinology, International University of Health and Welfare, Mita Hospital
4Department of Pathology, Kawasaki Municipal Ida Hospital
5Department of Internal Medicine, Division of Diabetes and Endoclinology, Show a University School of Medicine
*Address for Correspondence: Yuko Harada, Department of Internal Medicine, Shin-yurigaoka General Hospital, Japan, E-mail: adayuko1219@yahoo.co.jp
Dates: Submitted: 08 August, 2017; Approved: 05 September, 2017; Published: 12 September, 2017
Citation this article: Harada Y, Handa M, Koyama K, Shinagawa T, Taniyama M. Atypical Case of Thyroid Storm Revealed by Autopsy. Int J Case Rep Short Rev. 2017;3(3): 049-052.
Copyright: © 2017 Harada Y, et al. This is an open access article distributed under the Creative Commons Attribution License, which permits unrestricted use, distribution, and reproduction in any medium, provided the original work is properly cited.
Keywords: Hemangioma; Female; Urethra; Hematuria
Abstract
Thyroid storm is a rare and life-threatening disease which may cause multiple organ failure. We experienced an atypical case of thyroid storm with Multiple Organ Failure (MOF), Disseminated Intravascular Coagulation (DIC), and stroke with a normal serum FT3 level who died in 2 years and 7 months post event of thyroid storm. An autopsy revealed severe atrophy of the thyroid with diffuse fibrosis. It appeared that the patient’s underlying thyroid disease was chronic thyroiditis or atrophic thyroiditis, and the thyroid storm was caused by atypical painless thyroiditis and/ or Basedow’s disease concurrent with chronic thyroiditis. To our knowledge, this is the first report ever of autopsy of thyroid storm by advanced chronic thyroiditis, possibly atrophic thyroiditis.
Introduction
Thyroid storm, or thyrotoxic crisis, is a hypermetabolic emergency due to severe thyrotoxicosis. It has been said to be a rare disorder with high mortality, but the details were unknown until a nationwide survey was organized by Japan Thyroid Association from 2004 to 2008 [1]. They reported that the incidence was 0.20 per 100,000 population per year, and the mortality rate was 10.7%. The diagnostic criteria used worldwide were established by Burch and Wartofsky in 1993 [2]. The Japan Thyroid Association and Japan Endocrine Society established new criteria in 2012 [1], and it has been recommended to use both diagnostic systems to increase the accuracy of clinical diagnosis [3].
We experienced an unusual case of thyroid storm diagnosed by both criteria. The patient survived for 2 years and 7 months. We conducted autopsy to reveal the underlying thyroid disease of this patient. This is the follow-up report to reveal what was the cause of such an unusual case of thyroid storm.
Case Report
In 2012 we reported an unusual case of thyroid storm with MOF, DIC, and stroke with a normal serum FT3 level [4]. The patient was a 62-year-old woman diagnosed with both pneumonia and heart failure. She didn’t have a history of thyroid disease, but she had delirium, finger tremor, exophthalmos, and weight loss that suggested thyrotoxicosis. However, goiter was not observed. She had a high FT4 level of 2.92 ng/ dL (normal range 0.70-1.48), and an extremely low level of TSH (below 0.0100 µIU/ mL), but her FT3 was normal at 2.90 pg/ mL (normal range 1.71-3.71). Thyroid Receptor Antibody (TRAb) was elevated to 34.6%, but Thyroid Stimulating Antibody (TSAb), Anti-Thyroglobulin Antibody (TgAb), and Anti-Thyroid Peroxidase Antibody (TPOAb) were negative. On the 3rd day of admission she fell into coma and shock, presented with MOF and DIC. She met the criteria of thyroid storm. She recovered from MOF and DIC in 2 weeks, but then she developed cerebellar infarction on 24th day of admission (our previous report ended at this point). Thyroid echogram revealed hypo echoic thyroid of normal size with poor blood flow. Thyroid scintigraphy was done 8 days after the event of thyroid storm. 123I-uptake of 1 hour was 1.1%, 3 hour was 5.9%, and 8 hour was 10.9%.
Since the patient had thyroid storm, we treated her with thiamazole. Her TSH level remained extremely low for several months, and she needed thiamazole 5mg/ day for 9 months to control her thyroid function (Figure 1). On 10th month her TSH level jumped up to 35 µIU/ mL. We decreased the dose of thiamazole to 5mg every other day. TSH, FT3, and FT4 were all normalized in 5 months. Then the next month TSH raised to 4 µIU/ mL, so that we added levothyroxine 50µg/ day to the treatment.
Figure 1: Clinical course after thyroid storm. TSH (µIU/mL), FT3 (pg/mL), and FT4 (ng/dL) are shown.
The thyroid function was stable for 9 months with combined therapy of levothyroxine and thiamazole. Then she developed pneumonia, heart failure, and died of MOF and DIC.
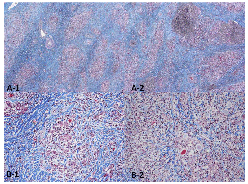
Since we wanted to evaluate her thyroid, we conducted autopsy. The thyroid was 18 grams, slightly enlarged, adhered to the surrounding tissue, and hardened as cartilage. Pathological examination revealed the lymphocytic infiltration and lymphatic follicles in the thyroid. It showed extensive fibrosis and scar tissues replacing normal thyroid parenchyma, and thyroid follicles were remarkably decreased (Figure 2,3). These findings were very similar to atrophic thyroiditis which is a rare type of chronic thyroiditis except that the thyroid was slightly enlarged [5,6]. This was not an usual chronic thyroiditis, but appeared to be an advanced stage of chronic thyroiditis.
Discussion
When the patient had thyroid storm, it initially appeared to be caused by Basedow’s disease because she showed severe thyrotoxicosis and elevated TRAb. As she did not have goiter, and her TgAb and TPOAB were negative, these did not point to chronic thyroiditis, until autopsy, because chronic thyroiditis usually shows hypothyroidism.
There were several facts that opposed to her having Basedow’s disease: Her TSAb was negative, thyroid echogram showed typical image of chronic thyroiditis, and the findings of autopsy was compatible with chronic thyroiditis. Then, the question was raised: how did she have hyperthyroidism with chronic thyroiditis ?
One explanation is that the patient had painless thyroiditis as a variant form of chronic thyroiditis at the onset of thyroid storm. Painless thyroiditis may cause thyrotoxicosis, and it is known that it may also develop in the patients of chronic thyroiditis. Whether she had atrophic thyroiditis at the onset of thyroid storm, or atrophy of thyroid caused by prolonged painless thyroiditis, is not known.
Another explanation is that the patient also had Basedow’s disease. She could have had three thyroid diseases simultaneously: painless thyroiditis, chronic thyroiditis (atrophic thyroiditis), and Basedow’s disease. 123I-uptake was observed, which was low for Basedow’s disease, but not extremely low for painless thyroiditis. The scintigraphy was done after the treatment with large dosage of thiamazole 80mg/ day which could have negatively affected the 123I-uptake. The clinical course is also suggestive of Basedow’s disease. It is known that the duration of hyperthyroid phase of painless thyroiditis lasts 3 to 4 months on average [7]. The fact that she needed thiamazole treatment for 9 months confirms that she had Basedow’s disease. Since she did not become hypothyroid with thiamazole at early stage, she could not have had painless thyroiditis. These facts support that the patient had both Basedow’s disease and painless thyroiditis at the same time.
Atrophic thyroiditis is a rare entity known to be distinct from Hashimoto’s disease, which occurs between the ages of 40-60 years especially in elderly women [5]. There are no diagnostic criteria for atrophic thyroiditis. Jara LJ et al. proposed the following bases for diagnosis: chronic or subclinic hypothyroidism, positive Thyroid Stimulation Blocking Antibodies (TSBAb) and thyroid ultrasound with diffuse low thyroid echogenicity associated with a reduced thyroid volume [5]. Our case findings of thyroid echogram and autopsy were very similar to atrophic thyroiditis except that the thyroid was slightly enlarged. Since TSBAb was not measured, there is not yet absolute evidence that it was atrophic thyroiditis.
In the medical literature, there are 9 case reports of autopsy of thyroid storm. Four cases had Graves’ disease [8-11], 2 cases had “diffuse hyperplastic goiter” [12,13], one case had drug-induced hyperthyroidism [14], and one case had Grave’s disease and early stage of Hashimoto’s disease [15]. Our case is the first report of autopsied thyroid storm with advanced chronic thyroiditis, possibly atrophic thyroiditis.
According to the survey in Japan, Basedow’s disease was the most common underlying illness of thyroid storm (about 98%), followed by very rare cases of destructive thyroiditis (painless thyroiditis) which were only 5 cases out of 356 cases in total [1]. Our case is very unusual because thyroid storm may have been caused by painless thyroiditis on the basis of advanced chronic thyroiditis or atrophic thyroiditis, and possibly with Basedow’s disease. The limitation is that we were not able to measure TSBAb, and we did not follow-up the data of TRAb and TSAb.
Conclusion
We experienced an atypical case of thyroid storm. The autopsy revealed that the patient had atrophic thyroiditis. It was presumed that she had painless thyroiditis at the onset of thyroid storm on the basis of chronic thyroiditis, which was possibly atrophic thyroiditis.
References
- Akamizu T, Satoh T, Isozaki O, Suzuki A, Wakino S, Iburi T, et al. Diagnostic Criteria, Clinical Features, and Incidence of Thyroid Storm Based on Nationwide Surveys. Thyroid. 2012; 22: 661-679. https://goo.gl/cvJ2L7
- Burch HB, Wartofsky L. Life-threatening Thyrotoxicosis. Thyroid Storm. EndocrinolMetabClin North Am. 1993; 22: 263-277. https://goo.gl/c2svJ5
- Satoh T, Isozaki O, Suzuki A, Wakino S, Iburi T, Tsuboi K, et al. Guidelines for the Management of Thyroid Storm from the Japan Thyroid Association and Japan Endocrine Society (First Edition). Endocr J. 2016; 63: 1025-1064. https://goo.gl/skeAgh
- Harada Y, Akiyama H, Yoshimoto T, Urao Y, Ryuzaki M, Handa M. Thyroid Storm with Multiple Organ Failure, Disseminated Intravascular Coagulation, and Stroke with a Normal Serum FT3 Level. Intern Med. 2012; 51: 2379-2383. https://goo.gl/iegQFz
- Jara LJ, Vera-Lastra O, Medina G. Atrophic Thyroiditis. In: Shoenfeld Y, Cervera R, Gershwin ME (eds) Diagnostic Criteria in Autoimmune Diseases. Humana Press. 2008; 221-225. https://goo.gl/r7oXJ6
- Sugenoya A, Itoh N, Kasuga Y, Kobayashi S, Ohhashi T, Nagai N, et al. Histopathological Features of Atrophic Thyroiditis with Blocking Type-TSH Binding Inhibitor Immunoglobulins. Endocr J. 1995; 42: 277-281. https://goo.gl/z37Fou
- Walker P. Silent Thyroiditis. Can Fam Physician. 1984; 30: 1337-1339. https://goo.gl/7Db3Le
- Lynch MJ, Woodford NW. Sudden Unexpected Death in the Setting of Undiagnosed Graves’ Disease. Forensic Sci Med Pathol. 2014; 10: 452-456. https://goo.gl/9M1pjc
- Hanterdsith B, Mahanupab P. Sudden and Unexpected Death in a Young Thai Female due to Poorly Controlled Graves’ Diease: a Case Report. Am J Forensic Med Pathol. 2010; 31: 253-254. https://goo.gl/vfGLCT
- Hosojima H, Iwasaki R, Miyauchi E, Okada H, Morimoto S. Rhabdomyolysis Accompanying Thyroid Crisis: an Autopsy Case Report. Intern Med. 1992; 31:1233-1235.https://goo.gl/fXfH3D
- Bendezu R, Wieland RG, Tang P, Levine B. Unusual Events Preceding Hyperthyroidism with Diffuse Goiter. Arch Intern Med. 1977; 137: 1023-1025. https://goo.gl/X7b71V
- Ohshima T, Maeda H, Takayasu T, Fujioka Y, Nakaya T, Saito K, et al. An Autopsy Case of Sudden Death due to Hyperthyroidism. Nihon HoigakuZasshi. 1990; 44: 365-370. https://goo.gl/jKEhaa
- Kuo CS, Ma WY, Lin YC, Lin HD. Hepatic Failure Resulting from Thyroid Storm with Normal Serum Thyroxine and Triiodothyronine Concentrations. J Chin Med Assoc. 2010; 73: 44-46. https://goo.gl/51gcL5
- Hartung B, Schott M, Daldrup T, Ritz-Timme S. Lethal Thyroid Storm after Uncontrolled Intake of Liothyronine in order to Lose Weight. Int J Legal Med. 2010; 124: 637-640. https://goo.gl/XJEGtV
- Chen YT, Yang GG, Hsu YH. Thyroid Storm and Lymphocytic Myocarditis. Intern Med. 2010; 49: 593-596. https://goo.gl/3NZidU
Authors submit all Proposals and manuscripts via Electronic Form!



