Case Report
Spitzoid Melanoma with Touton-Like, osteoclast-Like and Foreign Body Giant Cells in a 15-Year-old Girl
Rafael Parra Medina1, Tatiana Roncancio3 and Samuel David Morales1,2*
1Department of Pathology, National Institute of Cancer, Bogota, Colombia
2Department of Pathology, Fundación Universitaria de Ciencias de la Salud, Bogota, Colombia
3Department of Genetics, National Institute of Cancer, Bogota, Colombia
*Address for Correspondence: Samuel David Morales, Department of Pathology, National Institute of Cancer, Bogota, Colombia Cl, 1a #9-85, Bogota, Colombia Bogota, Colombia, Tel: +57 1 3341111; E-mail: sdmorales@cancer.gov.co
Dates: 31 August, 2017; Approved: 25 October, 2017; Published: 28 October, 2017
Citation this article: Medina RP, Roncancio T, Morales SD. Spitzoid Melanoma with Touton-Like, osteoclast-Like and Foreign Body Giant Cells in a 15-Year-old Girl. Int J Case Rep Short Rev. 2017;3(4): 067-70.
Copyright: © 2017 Morales SD, et al. This is an open access article distributed under the Creative Commons Attribution License, which permits unrestricted use, distribution, and reproduction in any medium, provided the original work is properly cited.
Keywords: Spitzoid Melanoma; Giant Cell Melanoma; Touton-Like Giant Cell; Osteoclast-Like Cell; Foreign-Body Cell
Abstract
Background: Melanomas with atypical histologic features are very rarely described in the medical literature and remain a potential diagnostic pitfall. Several unusual variants of malignant melanoma have been identified.
Case presentation: 15-year-old girl with a pigmented cutaneous lesion on the posterior aspect of her right leg with a four year history of progressive growth. Microscopic sections evidenced a malignant spitzoid melanoma with scattered giant cells.
Conclusion: Melanoma occurring during childhood is rare and it is exceptionally rare among children younger than 9 years, representing 1–3% of all pediatric malignancies. Only three cases of melanoma with Touton-like giant cells and seven cases with osteoclast-like cells in adult patients are acknowledged in medical papers. No other cases with more than two types of giant cells have been described.
Introduction
Melanomas with unusual histologic features are very rarely reported in the medical literature and remain apotential diagnostic pitfall [1]. The major variants of melanoma include then odular melanoma, the superficial spreading melanoma, the acrallentiginous melanoma and the desmoplastic and/or neurotropic melanoma. Unusual variants of malignant melanoma are most infrequent, and manifest as, nevoid malignant melanoma, minimal-deviation melanoma, equine/animal-type melanoma and unusual cytomorphologic and phenotypic profiles of melanoma which may bemetaplastic, balloon, signet ring, myxoid, small cell, rhabdoid, psamommatous, and multinucleated giant cell melanomas [1].
Giant cell melanoma is uncommon and has been reported associated with Touton-like cells[2], osteoclast-like cells [3] and monster cells[4]. The case we present herein, a girl with a spitzoid melanoma with Touton-like, osteoclast-like and foreign-body giant cells. The present case is the first case identified in a children with the presence of this three types of cells.
Case Presentation
Patient 1
A 66-year-old male patient was admitted to our department because of dysphagia, odynophagia and loss of body weight of 7 kg within one year.
We present the case of a 15-year-old girl with an 8x8mm cutaneous pigmented lesion on the posterior aspect of the right leg with a four year history of progressive growth. An excisional biopsy from the lesion revealed a malignant melanoma. The patient had no other symptoms. No enlarged lymph nodes were found upon physical examination. Chest x-rays and abdominal CT scan did not show any alterations. A wide excision with clear resection margins was performed.
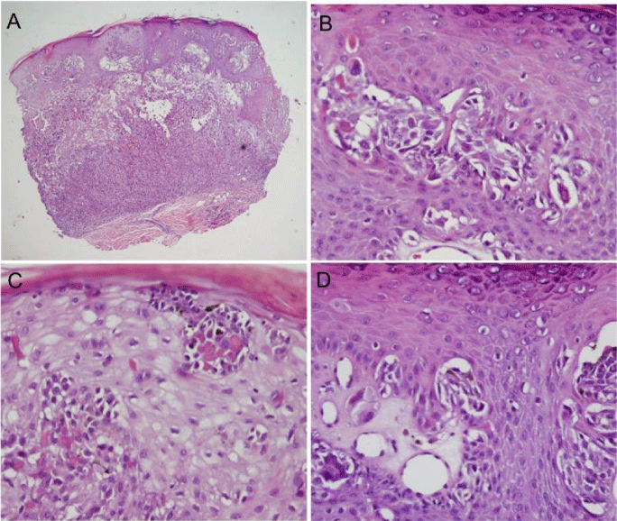
The hematoxylin and eosin sections of the punch biopsyspecimen revealed a dermoepidermalbased tumor with sheets and nests of enlarged epithelioid cells that did not mature in deep areas (Figure 1). A high degree of cytological atypia was present and contained increased Touton-like, osteoclast-like and foreign body type giant cells (Figure 2). Melanin pigment was absent. A malignant spitzoid melanoma measuring 2.4mm, exhibiting vertical growth and Clark’s level IV, with no ulceration, mitotic index of less than 1/mm2, and nosatellitosis, lymph-vascular invasion, perineural invasion, tumor-Infiltrating lymphocytes or tumor regression, was diagnosed.
Figure 1: A. Asymmetric growth with extension into the deep dermis and focally into the hypodermis. B-C. Morphologic findings of Spitzoid melanoma: Isolated epithelioidcells in pagetoid growth and relatively large Kamino bodies within the epidermis (hematoxylin and eosin). Numerous apoptotic keratinocytes are also present.
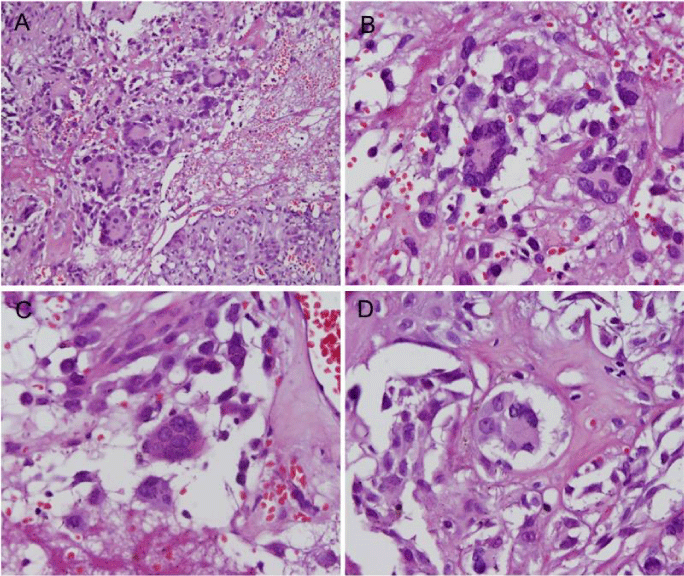
Figure 2: A-D. Scattered Touton-like, osteoclast-like and foreign-body giant cells along the biopsy. (hematoxylin and eosin).
Immunohistochemical stains showed a diffuse positivity of the lesional cells for S-100, and displayed focal and weak staining for HMB-45 and Melan-A. The giant cells were positive for S-100 and exhibited weak focal staining for CD68. Ki-67 index was approximately 20%. PHH-3 showed some deep mitotic figures (Figure 3). A sentinel lymph node biopsy, obtained from the right groin, was negative for metastatic melanoma. The Fluorescence in Situ Hybridization (FISH) showed tetraploidy (Figure 4).
Discussion
Melanoma occurring during childhood is rare and it is exceptionally rare among children younger than 9 years, representing 1-3% of all pediatric malignancies [5].It is not clear whether it differs from adult melanoma in it setiology and clinical progression. The clinical course is similar to adult melanoma although prognosis has been suggested to have a favorable course especially in prepubescent children and in adolescents [5,6]. Histopathologic prognostic factors include, the Breslow´s depth of the melanoma, presence of ulceration, mitotic rate, and presence or absence of lymph vascular invasion [5]. The risk of melanoma is higher in children with giant congenital melanocytic nevi, xeroderma pigmentosum, dysplastic nevus syndrome, atypical and numerous acquired melanocytic nevi, immunodeficiency disorders, or a family history of melanoma [7].
Our case is especially interesting due to the presence of a spitzoid melanoma exhibiting Touton-like, osteoclast-like and foreign-body giant cells. Guitart and Gerami [8] reported a case of a 4-year-old boy with a growing lesion on the left arm. The hematoxylin and eosin sections revealed Touton-like giant cells in a Spitz’s nevus. In contrast, our case showed absence of maturation with conspicuous deep dermal mitotic and abnormal figures consistent with melanoma.
Previously reported cases of melanoma associated with Touton-like cells typically occurred in patients 70 years of age or older. One corresponded to an 88-year-old Caucasian woman with a1 cm amelanotic lesion on the left forearm [9] that presented as an atypical fibroxanthoma-like melanoma; the other two cases were, a xanthogranuloma-like melanoma in an 87-year-old man with a 3 x 3mm erythematous papule on his left upper eyelid [10] and a 70-year-old white man with a history of atypical nevi, squamous cell carcinomas, and a recent infiltrative and sclerosing carcinoma on the scalp [2]. Our case had no melanin pigment, as all the other cases. The Touton-like cells were seen scattered across the dermis and at the dermoepidermal junction and the atypical cells were seen at and above the dermoepidermal junction. The immunohistochemistry studies revealed diffuse staining for Melan A, HMB-45 and S-100, including the giant cells [2,9]. An additional difference with the aforementioned cases was that our case was a Spitzoid melanoma characterized by epithelioid cells, clefts between epidermal nests and large vesicular nuclei with prominent nucleoli.
Seven cases of melanoma with osteoclast-like cells have been reported [3,11-13]. Brahim and Salama acknowledged three cases. One in a 68-year-old female who presented with a 1.5cm skin pigmented lesion on the upper portion of the right thigh. The other cases were described in two male patients, an 81-year-old man who presented with an itchy pigmented nodule in the upper back and a 77-year-old man with a raised pale nodule on the scalp. Goel, et al [11], reported two cases, a 40-year-old male who presented with a mass arising from the right nasal cavity with a 3 month progression and a 50-year-old man who presented with a gradually increasing spherical swelling on the right foot. Immunohistochemistry revealed HMB45 and S100 expression in the conventional melanoma cells, while the osteoclast- like giant cells expressed CD68, but did not express melanocytic markers (HMB45, Melan-A, and S100). Just as the melanoma associated with Touton-like cells [9], two other cases with osteoclast- like giant cells resembled an atypical fibroxanthoma [3].
Immunohistochemistry is essential in confirming the diagnosis and excluding other malignant neoplasms that may exhibit similar morphology, particularly if melanin pigment is scarce or absent, or if an intra-epidermal component is lacking. The differential diagnosis includes other melanocytic lesions [8] and histiocytic lesions such as atypical fibroxanthomas, fibrous histiocytomas, necrobiotic xanthogranulomas, xanthelasmas, foreign body reaction, and Langerhans cell histiocytosis [14]. Touton-like giant cells are the prototypical sign of juvenile xanthogranuloma, these cells are large lipid-filled histiocytes with multiple nuclei in a wreath-like arrangement with a peripheral ring of foamy cytoplasm and a central area of non-foamy cytoplasm [15]. Other possible diagnostic considerations might include metastatic visceral carcinomas with giant cell features.
References
- Magro CM, Crowson AN, Mihm MC. Unusual variants of malignant melanoma. Mod Pathol. 2006; 19: 41-70. https://goo.gl/4sKXS6
- Wang YT, Smart CN. A rare case of melanoma with Touton-like giant cells: a potential diagnostic pitfall. Am J Dermatopathol. 2014; 36: 513-515. https://goo.gl/hbevme
- Al-Brahim N, Salama S. Malignant Melanoma with Osteoclast-Like Giant Cells: An Unusual Host Response: immunohistochemical and ultrastructural study of three cases and literature review. Am J Dermatopathol.2005; 27: 126-129. https://goo.gl/5UzHgH
- Hawryluk E, Baran J, Gerami P, Sepehr A. Monster cell melanoma with pulmonary metastasis and cyclin D1 amplification. J Cutan Pathol. 2013; 40: 61-65. https://goo.gl/2Qy8y2
- Hawryluk EB, Liang MG. Pediatric Melanoma, Moles, and Sun Safety. Pediatr Clin North Am. 2014; 61: 279-291. https://goo.gl/Aq99iq
- Bleyer A, Barr R, Hayes-Lattin B, Thomas D, Ellis C, Anderson B, et al. The distinctive biology of cancer in adolescents and young adults. Nat Rev Cancer. 2008; 8: 288-298. https://goo.gl/tiGsvC
- Schaffer JV, Pigmented lesions in children: when to worry. Curr Opin Pediatr. 2007; 19: 430-440. https://goo.gl/h6rQXt
- Guitart J, Gerami P. Touton-like giant cells in a Spitz’s nevus. J Cutan Pathol. 2008; 35: 694-695. https://goo.gl/bvuFWA
- Lee JS, Kossard S. Atypical Fibroxanthoma-like Melanoma with Touton-like Giant Cells. Am J Dermatopathol. 2007; 29: 480-481. https://goo.gl/hNXZqt
- Idriss MH, De Jesus G, McClain SA, Gottlieb GJ. Melanoma Masquerading as Xanthogranuloma: A Diagnostic Pitfall. Am J Dermatopathol. 2013; 35: 41-44. https://goo.gl/fAzxqS
- Goel G, Rao S, Khurana N. Malignant melanoma with osteoclast-like giant cells: A report of two cases. J Cancer Res Ther. 2011; 7: 336-338. https://goo.gl/vuB2bm
- Denton K, Stretch J, Anthansou N. Osteoclast- like giant cells in malignant melanoma. Histopathology. 1992; 20: 179-181. https://goo.gl/P5KkQg
- Daroca PJ, Reed RJ, Martin PC. Metastatic amelanotic melanoma simulating giant-cell tumor of bone. Hum Pathol. 1990; 21: 978-980. https://goo.gl/jRzedL
- Gomez-Mateo MC, Monteagudo C. Nonepithelial skin tumors with multinucleated giant cells. Semin Diagn Pathol. 2013; 30: 58-72. https://goo.gl/vtjMJp
- Aterman K, Remmele W, Smith M. Karl Touton and His Xanthelasmatic Giant Cell A Selective Review of Multinucleated Giants Cells. Am J Dermatopathol. 1988; 10: 257-269. https://goo.gl/K3i3yw
Authors submit all Proposals and manuscripts via Electronic Form!



