Case Report
Oesophageal Gastrointestinal Stromal Tumour and Hiatus Hernia; a Diagnostic Dilemma and Laparoscopic Resection
Mohamed Elshaer, Sekhar Das, Huma Khan and Ahmed Al-Bahrani*
Department of Surgery, West Hertfordshire Hospitals, England
*Address for Correspondence: Ahmed Al-Bahrani, Department of Surgery, Watford General Hospital, Vicarage road, Watford, WD18 0HB, United Kingdom, Tel: +44 1-923 -217-876/+44 7-989-343-345; E-mail: ahmed.al-bahrani@whht.nhs.uk
Dates: 01 December 2017; Approved: 07 December 2017; Published: 08 December 2017
Citation this article: Elshaer M, Das S, Khan H, Al-Bahrani A. Oesophageal Gastrointestinal Stromal Tumour and Hiatus Hernia; a Diagnostic Dilemma and Laparoscopic Resection. Int J Case Rep Short Rev. 2017;3(5): 074-077.
Copyright: © 2017 Al-Bahrani A, et al. This is an open access article distributed under the Creative Commons Attribution License, which permits unrestricted use, distribution, and reproduction in any medium, provided the original work is properly cited.
Keywords: GIST; Hiatus Hernia; Diverticulum; Enucleation
Abstract
Background: Oesophageal Gastro Intestinal Stromal Tumours (GISTs) are rare tumours that present with non-specific symptoms and therefore represent a diagnostic challenge. In this report, we present a case of oesophageal GIST associated with Hiatus Hernia (HH) that presented with reflux symptoms.
Case report: A 48 years old female patient presented with reflux symptoms. The diagnostic uncertainty arose when a suspicious lesion was found on Computed Tomography (CT) and Positron Emission Tomography (PET)/CT. Endoscopically, this lesion was not visible and hence preoperative histological confirmation was not feasible. The surgical findings during laparoscopy were of a GIST at the gastro oesophageal junction and was associated with a traction diverticulum. This lesion was removed successfully with enucleation of the tumour and formation of anterior Dor fundoplication.
Conclusion: The presence of a GIST in association with a symptomatic HH may lead to a diagnostic dilemma and therefore it can be a surgical challenge. Careful investigations and laparoscopic management is feasible in the experienced hands.
Introduction
Gastrointestinal Stromal Tumours (GISTs) are the most common mesenchymal tumour of the gastrointestinal tract with an annual incidence of 7 to 20 per million [1]. GISTs arise from the interstitial cells of Canal in the stomach and small bowel and they express the protein c-KIT (CD117) in their cells [2]. However, they are rare findings in the oesophagus with an incidence of < 1% [1].
Oesophageal GISTs may present as intraluminal masses but others may be intramural or exophytic. GISTs present with non-specific symptoms such as haematemesis, melaena, abdominal pain, palpable mass, anorexia, early satiety, dysphagia, weight loss, and occasionally obstructive symptoms. They are also found incidentally on endoscopy, imaging or during surgery. GISTs may metastasize to liver and peritoneum and rarely to lymph nodes. Tumour size, mitotic activity, site, and the presence of c-KIT mutations are important prognostic factors for mestastases or recurrence [3]. Higher mitotic rates and size greater than 5 cm are predictive of aggressive character.
The association of GISTs with Hiatus Hernia (HH) has not been described in the literature and constitutes a diagnostic challenge. The aim of this case report is to present the first case of GIST associated with para oesophageal HH and to evaluate the outcome of laparoscopic resection in this case.
Case Report
A 48 years old female patient presented with epigastric pain, worse on swallowing or straining and progressively increasing in intensity over the last month. She was able to tolerate semi liquid diet but struggled with solids, especially hard fruits and vegetables. She also had symptoms of heartburn and burping and used six pillows at night to get relief and avoided meals near bedtime. She also experienced shortness of breath after regular exercise and a non- productive cough. There was no history of weight loss. She had previously been investigated for dysphagia when a Barium swallow had confirmed a HH. She did not have any significant co-morbidities. Her medications included omeprazole, co-dydramol and amitriptyline. She was a non-smoker and only drank alcohol socially.
On examination, her Body Mass Index (BMI) was 27. Examination of the abdomen was normal apart from a scar from previous Caesarean section.
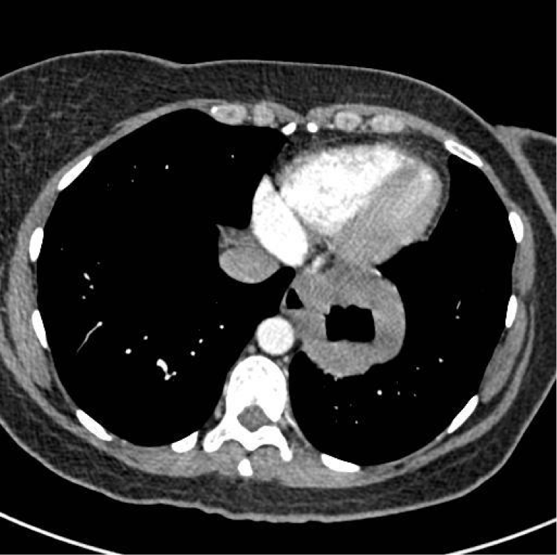
She initially had a Chest X-Ray, which showed a 5 cm, round and well-defined shadow behind the heart suspected to be of HH. This was followed by an enhanced Computed Tomography (CT) Thorax (Figure 1) that showed the CXR abnormality corresponded to a possible 6 cm sequestered lung segment. After discussion in the respiratory Multidisciplinary Team (MDT) meeting she was investigated further with a bronchoscopy. However, the bronchoscopy was normal and bronchial washings did not show any malignant cells. A positron emission tomography computed tomography (PET/CT) was then performed and showed a 6.5 cm thick-walled air filled mass in the lower lobe of the left lung with intense peripheral Fluoro Deoxy Glucose (FDG) uptake suspicious of a malignancy. A barium swallow showed the lesion seen on CT to be continuous with the lumen of the oesophagus (Figure 2). Following this, a large HH at 25 cm was visualised on an Oesophago Gastroduo Denoscopy (OGD) examination.
In light of the PET/CT scan findings, she was referred to the Upper GI MDT. In the MDT discussion, the lesion was suspected of inflammation or cancer of herniated stomach and patient was planned for a laparoscopic repair and/or resection.
An intraoperative OGD was performed (Figure 3) and showed a small para oesophageal hernia with normal mucosa of oesophagus, stomach and duodenum. During laparoscopy, the hernia was reduced and a para oesophageal extraluminal 4cm multilobulated tumour was visualised in the left posterior mediastinum (Figure 4). After mobilisation of the greater curvature of stomach and lower 1/3 of oesophagus, the tumour was delivered into the abdominal cavity (Figure 5). The tumour was enucleated from the muscular wall without breaching the mucosa and an air leak test did not show any leak. After removing the tumour, a diverticulum of oesophageal mucosa remained (traction diverticulum caused by the tumour) just above the Gastro-Oesophageal Junction (GOJ). It was decided to leave it to regress with time. The diaphragmatic crura were closed with a mattress suture and an anterior Dor fundoplication was performed (Figure 6). The tumour was retrieved using Espiner bag (Espiner medical LTD).
A contrast swallow performed on the fourth day postoperatively did not reveal any leak. She was tolerating soft diet and was discharged successfully on the 7th day postoperatively.
The histological analysis showed firm greyish white tumour of 85X40mm size. The tumour composed of small spindle shaped smooth muscle type cells, smooth muscle actin (+ve), desmin focal (+ve), DOG-1 focal (+ve), CD34 focal (+ve), CD117 focal (+ve), cytokeratin (-ve), S-100 (-ve), Ki67 proliferation fraction < 1%, mitotic rate < 5/50 HPF. Appearances are those of a GIST with a low risk of progression.
Discussion
The initial investigation findings in our case posed a dilemma. The cause of the patient’s symptoms was thought to be the HH. However the positive uptake on PET/CT raised the possibility of a tumour rather than a HH only. It was not clear whether we were dealing with a completely benign condition i.e. an incarcerated and inflamed HH or a tumour. To formulate a management plan, we had to consider the possibility of discovering an infiltrating tumour while embarking on a minimally invasive surgery and the prospect of subjecting the patient to a laparotomy or thoracotomy if a malignancy was found. The patient being a lady in her forties, the options had to be weighed carefully. She was offered a laparoscopic procedure with plan to proceed to an open resection of the lower oesophagus and stomach if indicated. The HH was in close relation to the lesion and appeared to be caused by the traction effect of the GIST superiorly, into the thoracic cavity. Tucker et al. described a traction diverticulum of the mid oesophagus resulting from fibrous scarring associated with inflammatory processes in the mediastinum secondary to Tuberculosis (TB) or histoplasmosis [4]. The association of gastric GIST and HH was described by Miyauchi et al [5]. However the association of lower oesophagus GIST and HH has never been described in the literature.
Symptoms from Gastro Oesophageal Reflux Disease (GORD) can mask symptoms from a tumour in the GOJ. Moreover, signs such as weight loss and anaemia can even occur as a result of GORD. Evaluation of GOJ on a contrast swallow or CT scan can be difficult especially with the distortion of anatomy from the hernia and ulceration or inflammation as a consequence of it. PET/CT should be considered in moderate to high risk patients. Endoscopic visualisation and biopsy of the relevant area can be technically difficult in HH. Endoscopic Ultrasound (EUS) can often give valuable information especially in the diagnosis of smaller GISTs. EUS guided needle biopsy is more likely to provide a histological diagnosis in submucosal GIST compared to endoscopic biopsy [6]. In this case, EUS was not requested as it would not have changed the management plan for this patient after discussion at the MDT and with the patient.
Surgical resection is the principle treatment for oesophageal GIST and suitability for resection should be explored by an appropriate sub-specialist surgeon. Ivor-Lewis oesophagectomy was reported by some authors to achieve wide local resection with macroscopic and microscopic removal of the entire tumour (R0) [7]. Extended lymphadenectomy is usually not required. Some small tumours may be resected thoracoscopically or laparoscopically [8-9]. Enucleation of the tumour is an alternative especially if the tumour is not circumferentially involving the wall of the oesophagus [10] and the mitotic rate is low [11]. The latter was applied in this case and achieved full resection of the tumour without breach of the oesophageal mucosa.
Adjuvant therapy with imatinib, a tyrosine kinase inhibitor, may be considered in patients predicted to have a moderate to high risk of recurrence. If at assessment a tumour is deemed not resectable without unacceptable morbidity, treatment with imatinib is appropriate. In nearly 90 to 95 percent of cases, GISTs characteristically express c KIT protein, a transmembrane receptor for stem cell factor with the intracytoplasmic portion functioning as a tyrosine kinase [2]. Some case reports reported a long term survival and no recurrence following thoracoscopic enucleation [9].
In our case the patient is still alive and well without recurrence after four years. The difficulty of diagnosis in this case was due to the combination of the long term reflux symptoms supported with both OGD and barium swallow findings, versus the CT and PET/CT findings, which suggested a potential tumour.
Conclusion
The occurrence of GIST or other tumours in association with HH is rare and presents a challenge in diagnosis and management. With appropriate case selection, laparoscopic enucleation of oesophageal GIST is feasible and not associated with recurrence and can achieve optimal resection margins.
References
- Lott S, Schmieder M, Mayer B, Henne-Bruns D, Knippschild U, Agaimy A, et al. Gastrointestinal stromal tumors of the esophagus: evaluation of a pooled case series regarding clinic pathological features and clinical outcome. Am J Cancer Res. 2015; 5: 333-343. https://goo.gl/GL78au
- Blum MG, Bilimoria KY, Wayne JD, de Hoyos AL, Talamonti MS, Adley B, et al. Surgical considerations for the management and resection of esophageal gastrointestinal stromal tumors. Ann Thorac Surg. 2007; 84: 1717-1723. https://goo.gl/pG7A8a
- Miettinen M, El-Rifai W, L HLS, Lasota J. Evaluation of malignancy and prognosis of gastrointestinal stromal tumors: a review. Hum Pathol. 2002; 33: 478-83. https://goo.gl/oCrVvL
- Tucker LE, Aquino T, Sasser W. Mid-esophageal traction diverticulum: rare cause of massive upper gastrointestinal bleeding. Mo Med. 1994; 91: 140-142. https://goo.gl/6jV2qf
- Miyauchi T, Ishikawa M, Nisioka M, Kashiwagi Y, Miki H, Sato Y, et al. Giant gastrointestinal stromal tumor, associated with esophageal hiatus hernia. J Med Invest. 2002; 49: 186-192. https://goo.gl/xX2soC
- Kelly S, Harris KM, Berry E, Hutton J, Roderick P, Cullin gworth J, et al. A systematic review of the staging performance of endoscopic ultrasound in gastro-oesophageal carcinoma. Gut. 2001; 49: 534-539. https://goo.gl/5kuAm4
- Nemeth K, Williams C, Rashid M, Robinson M, Rasheed A. Oesophageal GIST-A rare breed case report and review of the literature. Int J Surg Case Rep. 2015; 10: 256-259. https://goo.gl/Mky4tw
- Yanagawa S, Tanabe K, Suzuki T, Tokumoto N, Arihiro K, Ohdan H. A large esophageal gastrointestinal stromal tumor that was successfully resected after neoadjuvant imatinib treatment: case report. World J Surg Oncol. 2014; 12: 47. https://goo.gl/DnBpHS
- Isaka T, Kanzaki M, Onuki T. Long-term survival after thoracoscopic enucleation of a gastrointestinal stromal tumor arising from the esophagus. J Surg Case Rep. 2015; 2: 1-3. https://goo.gl/Aa8eQD
- Iannicelli E, Sapori A, Panzuto F, Pilozzi E, Delle Fave G, David V. Oesophageal GIST: MDCT findings of two cases and review of the literature. Journal of Gastrointestinal Cancer. 2012; 43: 481-485. https://goo.gl/zyfSRG
- Peparini N, Carbotta G, Chirletti P. Enucleation for gastrointestinal stromal tumors at the esophagogastric junction: is this an adequate solution? World J Gastroenterol. 2011; 17: 2159-2160. https://goo.gl/sHhgSG
Authors submit all Proposals and manuscripts via Electronic Form!







