Abu-Hussein Muhamad1*, Nezar Watted2, Peter Proff3 and Ali Watted4
1Department of Pediatric Dentistry, University of Athens, Greece
2University Hospital of Würzburg, Clinics and Policlinics for Dental, Oral and Maxillofacial Diseases of the Bavarian Julius-Maximilian-University Wuerzburg, Germany Triangle R&D Center, Kafr Qara, Israel and Department of Orthodontics, Arab American University, Jenin, Palestine
3University Hospital of Regensburg, Department of Orthodontics, University of Regensburg, Germany
4Dental school University of Regensburg, Germany
*Address for Correspondence: Abu-Hussein Muhamad, Department of Pediatric Dentistry, University of Athens, Greece, Tel: 00302105142873; E-mail: abuhusseinmuhamad@gmail.com
Dates: 16 April 2017; Approved: 24 April 2017; Published: 28 April 2017
Citation this article: Abu-Hussein M, Watted N, Proff P, Watted A. Clinical Management of Bilateral Impacted Maxillary Canines. Sci J Res Dentistry. 2017;1(1): 001-007.
Copyright: © Abu-Hussein M, et al. This is an open access article distributed under the Creative Commons Attribution License, which permits unrestricted use, distribution, and reproduction in any medium, provided the original work is properly cited.
Keywords: Abu-Hussein M
Abstract
Introduction: Impaction of maxillary canines is a frequently encountered clinical problem in orthodontic therapy. When a preventive approach fails, treatment involves surgical exposure of the impacted tooth, followed by orthodontic traction to guide and align it into the dental arch. The aim of the present report was to demonstrate by case reports of an adult patient with bilateral impacted maxillary canines treated with surgical exposure and orthodontic treatment.
Material and Methods: A 15year-old female with various degrees of bilateral palatal impaction of maxillary canines were managed by the described technique.
Results and Discussion: Autonomous eruption of the impacted canines after surgical uncovering was witnessed in all patients without the need for application of a vertical orthodontic force for their extrusion.
Conclusion: The described method of surgical uncovering and autonomous eruption created conditions for biological eruption of the palatally impacted canines into the oral cavity and facilitated considerably the subsequent orthodontic treatment for their proper alignment in the dental arch.
Introduction
Impaction is a pathological condition defined by the lack of eruption of a tooth in to the oral cavity within the time and physiological limits of the normal eruption process [1]. Impacted teeth are those with a delayed eruption time or that are not expected to erupt completely based on clinical and radiographic assessment. Permanent maxillary canines are the second most frequently impacted teeth; the prevalence of their impaction is 1-2% in the general population. This is most likely due to an extended development period and the long, tortuous path of eruption before the canine emerges into full occlusion [1-4].
The maxillary permanent canines are the most commonly impacted teeth with a reported prevalence of 0.9% to 3.3% [4,5]. About two thirds of these impacted maxillary canines are located palatally whereas the rest are located labially or within the alveolus [2]. Less frequently observed is the impaction of the maxillary central incisors with an estimated prevalence ranking from 0.06% to 0.2% [1] and it is usually diagnosed in the early mixed dentition stage [6-7]. The other teeth can eventually be impacted but with a very lower prevalence.
The etiology of tooth impaction is usually related to either a lack of space for a natural eruption, a retained deciduous tooth, a diversion of the tooth bud, or an idiopathic failure of eruption for unknown origin [6]. Other known factors are also an obstacle hindering eruption, cysts, or a trauma on the temporary dentition [8].
The diagnosis of impacted maxillary canine has to be based on both clinical examinations – disease history and status (clinical examination and palpation) and paraclinical examination – biometrical analysis and radiographic investigations [9].
According to Bishara there are a number of clinical signs that indicate the impaction of the upper canine: delayed eruption of the permanent canine, over retained deciduous canine (after the age of 14-15 years), absence of a normal labial canine bulge along the alveolar ridge; presence of a bulge on the palatal side of the alveolus or distal tipping of the lateral incisor [10].
The different methods of diagnosis that may allow for early detection and prevention should include a family history, visual and tactile clinical examinations by the age of 9-10 years and a thorough radiographic assessment. Clinical signs that may indicate ectopic or impacted cuspids include lack of a canine bulge in the buccal sulcus by the age of 10 years, over retained primary cuspids, delayed eruption of their permanent successor and asymmetry in the exfoliation and eruption of the right and left canines. Eruption time of a maxillary canine varies from 9.3 to 13.1 years.
Because canines are palpable from 1 to 1.5 years before they emerge, the absence of the canine bulge after the age of 10 years is a good indication that the tooth is displaced from its normal position, and ectopic eruption or impaction of the maxillary cuspids is possible. In patients older than 10 years, an obvious palpable bilateral asymmetry could indicate that one of the permanent cuspids is impacted or erupting ectopically [11,12].
According to Ericson and Kurol, for an accurate diagnosis the clinical examination should be supplemented with a radiographic evaluation. Panoramic films are used to localize impacted teeth .Labial impaction of a maxillary canine is due either to ectopic migration of the canine crown over the root of the lateral incisor or shifting of the maxillary dental midline, causing insufficient space for the canine to erupt [13,14].
Extraction of the maxillary deciduous canine as early as 8 or 9 years of age will enhance the eruption and self correction of a labial or intra-alveolar maxillary canine impaction. Olive suggested that opening space for the canine crown with routine orthodontic mechanics might allow for spontaneous eruption of an impacted canine. However, in some situations, even these techniques do not work, and the orthodontist must refer the patient to have the labial impaction uncovered surgically. There are 3 techniques for uncovering a labially impacted maxillary canine: excisional uncovering, apically positioned flap, and closed eruption technique [1,2,9].
Before surgical intervention, it is necessary to consider the need to create adequate space to facilitate movement of the impacted tooth [15]. For management of the impacted maxillary canine, all of the teeth in the maxillary arch should be bracketed to allow for proper positioning of the canine and to avoid canting of the occlusal plane [16]. Bracketing of all the teeth provides adequate anchorage for extrusion of the impacted canine. The other option is to use a mini-implant or micro mini-implant as anchorage to move the impacted canine [17]. Pre-surgical orthodontic treatment should be performed until adequate space is made for the canine. This usually takes between 2 and 4 months [15,17].
In principle, there are five treatment options for impacted maxillary canines [17];
(i) No active treatment except monitoring,
(ii) Interceptive removal of the primary canine,
(iii) Surgical removal of the impacted canine,
(iv) Surgical exposure with orthodontic traction and alignment, and;
(v) auto-transplantation of the impacted canine
This article presented a case of an adult patient with bilateral impacted maxillary canines treated with surgical exposure and orthodontic treatment.
Case Report
A 15 year-old female, was referred to the orthodontist by his family dentist. The clinical examination showed the presence of the left deciduos canine, and distal migration of lateral and central incisor. The absence of a canine bulge and the presence of a bilateral palatal bulge were noted upon intraoral palpation. There were no symptoms. The canines for this particular patient were rather horizontal in angulation and the crowns of the canines were in close proximity to the roots of the central incisors. This presented risk not only to the roots of the lateral incisors but also to the central incisors. We elected to address the canine with surgical exposure of the canines and utilizing orthodontic treatment to guide the impacted teeth into their proper position. The primary canines were extracted, the canines were exposed, and buttons with micro-chains were placed on the impacted teeth. Orthodontic treatment was used to create the space needed for the canine in the maxillary arch and specific orthodontic mechanics were applied to guide the teeth in a distal vector of force – away from the adjacent roots and teeth; this careful approach helps minimize potential root damage as well as other compromises (Figure 1a-c).
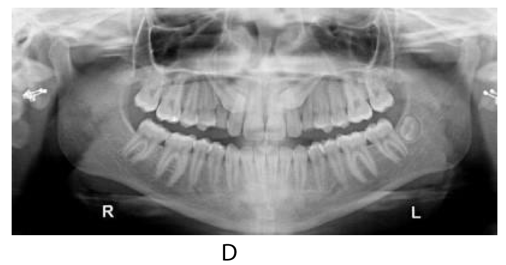
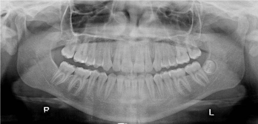
Panoramic radiographs showed the presence of two impacted canines. Considering the good morphology of the teeth, the position and the absence of ankylosis, in agreement with the oral surgeon the surgical orthodontic disimpaction was decided (Figure 1d).
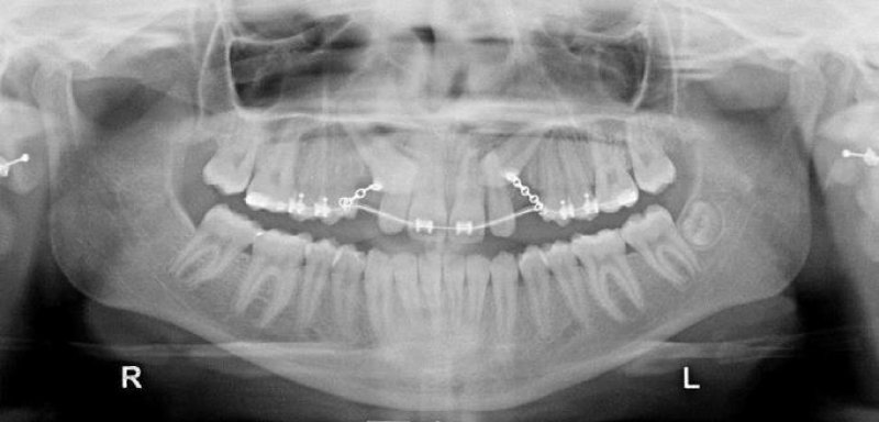
A fixed superior appliance was applied. The oral surgeon performed the surgical exposure of the impacted teeth and the orthodontist attached an auxilliary button directly to the crown’s enamel on the palatal side. This one-step approach is preferable, and to assure good bonding to the enamel the exposure should be the least traumatic possible. A fibrine sponge is useful to reduce the bleeding around the crown, and a periodontal curette can be used to remove the primary cuticle from the enamel. An orthophosphoric acid (37 %) was used for 40 second and the button was bonded. A ligature with several holes was prepared and attached to the button before bonding (Figure 2a).
The surgical exposure was very conservative. Only the bony tissue over the crown was excised and the flap completely sutured. We consider this light surgical exposure to be beneficial to the future periodontal health.
After a week the suture and the surgical dressing were removed, and light orthodontic force (no more 60 grams/2 ounces) with elastic ligatures was started. Concurrently sufficient space was created in the arch thus reducing the diastema. A preformed round arch wire 0.020 was used to provide sufficient stiffness (Figure 2b-c).
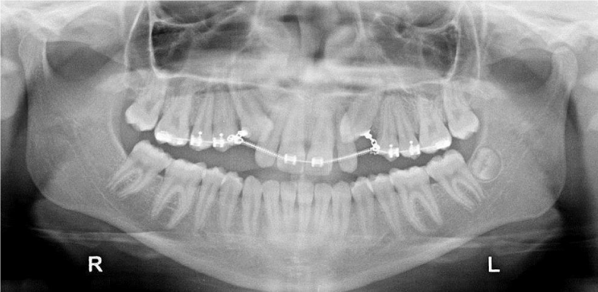
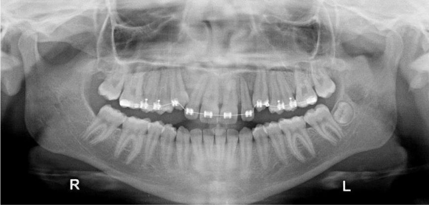
During the treatment two end oral radiographs were made on each side to ensure that the movement of canine was not damaging the roots of the neighboring teeth. When the crowns were erupted a metallic canine bracket was bonded, and the remaining movements were made with sectional, later repositioning the bracket twice. A Flexiloy tm 0.021 X 0.025 was the finishing arch and an Essix retainer was used for retention. The active treatment lasted 2 years long. Both the canines at the end of treatment had good periodontal conditions (Figure 2d, 3a-c).
Discussion
It is not unusual for maxillary canine impaction to occur bilaterally, although unilateral ectopic eruptions are more frequent [1,2]. Genetic factors have been reported to be the primary cause of palatally impacted maxillary canines [2]. Pathological sequelae like cysts, tumors, external/internal resorption of the impacted teeth and/or adjacent teeth, transmigration, referred pain and periodontitis have been associated with tooth impaction [2,9]. The clinician can investigate the presence and position of the cuspid by visual inspection, palpation and radiography. In the approach to the orthodontic patients, the application of traditional radiographic techniques is indispensable. However CBCT provides information which is not revealed during traditional radiographic analysis and is therefore indicated in case of impacted teeth or craniofacial structural anomalies [8].
There are four treatment options for impacted teeth; observation, intervention, relocation and extraction [17]. When the condition is identified early, interceptive extraction of the primary canines completely resolves permanent impaction in majority while others show some improvement in terms of more favorable canine positioning. However extraction of the primary cuspids does not guarantee elimination or correction of the problem. As a general rule, when the degree of overlap between the permanent maxillary cuspid and m the neighboring lateral incisor exceeds half the width of the incisor root, the chances of complete recovery are poor. An angle exceeding 31° from the vertical significantly reduces the chance of normal eruption following an extraction [9].
Upper canine inclusion is more frequent than lower impaction (with a minimum ratio of 4 to 1), in 57% cases in women. The aetiology of canine impaction is generally related to the upper dental arch length deficiency or to the developmental position of the tooth that could be more cranial than the norm. Mechanical factors have also been proposed to be related to the impaction of a canine [1-4]. For instance, the premature loss of deciduous canines or their prolonged retention could be associated with mechanical impingement of permanent canine. This can also be the consequence of displacement of lateral incisors or of the presence of impacted teeth or odontomas. Untreated impacted canines may determine arch length discrepancies, loss of vitality of adjacent teeth, follicular cysts, canine ankylosis, infections, and pain. As a consequence of this, orthodontic treatment is strongly recommended [5-9].
Orthodontic movement of an impacted tooth depends on a variety of factors, such as the position of the impacted tooth relative to neighboring teeth, its angulation, the distance the tooth has to be moved, and the possible presence of ankylosis. Surgical extraction is indicated in the following situations. a) The existence of infection, cyst, or tumor related to the impacted canine, b) impacted tooth causes the periodontal disturbance of the adjacent teeth, c) presence of neuralgic symptoms, d) crowding of arch requiring therapeutic extractions to correct crowded incisor teeth (e) impacted canine is enclosed and cannot be transplanted, f) root resorption affecting the adjacent teeth, g) root of impacted canine is severely dilacerated, h) severe impaction of canine tooth and i) patient’s unwillingness to orthodontic treatment or transplantation [17].
When the permanent maxillary canine is impacted or erupting buccally or palatally to the arch, the preventive treatment of choice is extraction of the primary canine; when the patient is 10-13 years old [14,18]. However, if any root resorption is evident before this age and there is suspicion of impaction, the primary canine should be extracted and appropriate treatment implemented, such as monitoring of the eruption path or orthodontic alignment. When a canine is impacted buccally, the retained primary canine should be extracted to create a pathway and space for the permanent canine to erupt into the arch. This is especially important if both the permanent and primary canines are simultaneously visible in the arch [19].
Baccetti and co-workers evaluated the effectiveness of two interceptive approaches to manage palatally displaced canines in a randomized clinical trial. They compared the success of extraction of primary canines alone and in association with the use of cervical-pull headgear. They concluded that removal of primary canine as an isolated measure to intercept palatal displacement of maxillary canines showed a success rate of 65.2% which was significantly greater than that in the untreated controls (36%). The additional use of a headgear resulted in successful eruption in 87.5% of the subjects. [20]
The success of early interceptive treatment for an impacted maxillary canine is influenced by the degree of impaction and the age of the patient at the time of diagnosis [18]. Ericson and Kurol in their study, found that when the cusp of the canine was loc distal to the midline of the root of the lateral incisor, 91% of the canines could be corrected whilst when the crown had passed medial to the midline of the root of the lateral incisor only 64% of the ectopically positioned teeth could be corrected [14]. As a general rule, when the degree of overlap between the permanent maxillary canine and the neighboring lateral incisor exceeds half the width of the incisor root, the chances of complete recovery are considered to be poor [21].
Other factors influencing the prognosis include angulation of the canine and crowding [19]. The chance of successful eruption of an impacted canine following extraction of the primary canine becomes less favourable as the angle from the vertical increases [14]. However, the degree of horizontal overlap with the adjacent lateral incisor has been found to have more influence on the prognosis than the angulation [17]. Thus, extraction of the primary canine is recommended if the patient is between 10 and 13 years old and the maxillary canine cannot be palpated. If the canine position does not improve over a 12-month period, alternative treatment is indicated. Radiographic evaluation in these cases should be at intervals of 6 months [14].
Orton et al reported a principal of treating unrupted canines by assessing the vertical axial eruptive path and suggested that labial tipping of 45° is generally orthodontically untreatable. Horizontal position, age of the patient, vertical height and bucco palatal position in descending order of importance are the factors which determine the difficulty of canine alignment [22].
Surgical exposure is the conventional treatment for impacted canines. While, many surgical procedures have been advocated in the past, the simplest and arguably the least traumatic that is still in use today is the gingivectomy [21,23].
Historically, the employment of this technique gave little consideration to the need for attached gingiva on the buccal surface of the canine. The clinician simply exposed the tooth by excising the overlying tissue regardless of the quality of the outcome. However, it is now considered that a minimum of 3mm of keratinized gingiva should be left following the gingivectomy [16]. This technique is more applicable for palatal impactions where there is an abundance of attached gingival [23]. The disadvantages of this technique are that attached gingiva is lost and tissue may re-grow over the surgical site if the gingivectomy is too conservative [24]. However, there are two other surgical methods that are favoured; the closed flap technique and the open surgical technique [1,2,8,9].
The closed flap technique is applicable when the tooth is in a position that does not permit the repositioning of a flap after crown exposure. This technique is frequently used for palatal impactions that are not close to the ridge of the alveolar process. In addition, when a canine is impacted high on the buccal aspect of the maxilla, or low relative to the occlusal plane of the mandible, this technique provides exposure without compromising the periodontal status of the adjacent teeth [24].
A small portion of the cortical bone is removed as necessary and the impacted tooth is exposed; some surgeons favour luxation of the tooth. Removal of less bone is said to promote healing and reduce post-operative bone loss [25]. An orthodontic bracket is then placed on the impacted tooth, the attached ligature wire or a chain then projects through the incision line. In cases where the tooth is distant from the
arch, it may be necessary to penetrate the flap and bring the ligature through the tissue to the arch wire [16]. The flap is then sutured back into place and orthodontic traction is subsequently applied [2].
The orthodontic management of these difficult cases requires the use of specific orthodontic mechanics, which could allow a perfect three dimensional control of tooth movement in order to reduce possible side effects. Elastic chain were used to retract the impacted canines, firstly activated in order to extrude the teeth, and to obtain their distal movement. The activation of the elastic chain was scheduled about once a month [17,26].
From a biomechanical perspective, it is desirable to deliver a light, point force in the occlusal direction to erupt impacted canines when sufficient space for the canine exists or has been created. When elastic chains or threads are used to deliver the single erupting force to the canine from a rigid base arch wire, the forces must be kept light due to the high load deflection rate and rapid decay of the force delivered by the elastic. Including many teeth helps to distribute the unwanted intrusive side effects among a larger cumulative root surface area and thus to minimize localized deleterious effects [9].
Ankylosis needs to be ruled out after surgical exposure by determining tooth movement with reasonable digital force or metallic sound on percussion. It is desirable to deliver a light force in the occlusal direction, using elastics, elastic chain, NiTi spring, or tie wire. Cole et al have described the use of magnets in the management of teeth that fail to erupt. We used ligature wire as traction attachment. Ligature wire were tied to the 0.016” NiTi wire which would get deformed under the traction force [27]. The spring back property of NiTi would bring the wire in its original shape thus transmitting a continuous traction force to the tooth through ligature wire. Ligature was adjusted every week to maintain traction force. However it is felt that auxiliary NiTi wire for ligature tie in addition to the base wire could have avoided the complication of mid treatment open bite [9,17].
Complications and The Side Effects Associated With The Treatment of The Impacted Maxillary are as Follows
Pain: As with any surgical procedure, patients experience some pain; however, there is slightly more post-operative pain from surgery on maxillary impacted canines than for the surgery related to other impacted teeth. Post-operative management during the first 24 hours should include non-steroidal anti-inflammatory drugs and long acting local anaesthetic agents [17].
Infection: Any surgical wound can lead to an infection even with the best aseptic technique. With maxillary impacted canines, infections can develop in the lip, canine space, or palate. Treatment consists of antibiotic therapy and surgical drainage.
Ecchymosis of the lip: Post-operatively ecchymosis can occur in the soft tissue if haemostasis is not achieved before closure [28]. It also can occur if the patient is taking salicylic acid or any herbal preparation or medication that increases bleeding time.
Non-eruption: The most common reasons for non-eruption after surgical exposure are ankylosis, inadequate space, gingival scarring, improper bonding and inappropriate orthodontic mechanics [16].
Devitalization of the pulp: If symptoms of pulpitis develop when an impacted canine is being moved orthodontically, the orthodontic therapy should be stopped and the canine should be evaluated for possible endodontic treatment. This complication is rare particularly in young individuals [16,17].
Damage to adjacent structures: If an impacted canine is in close proximity to the roots of neighbouring teeth, the surgery may cause damage to them. Rarely, displacement of a root into the maxillary sinus, or nasal cavity can occur during surgical removal. Even more rarely, an oro-antral or oro-nasal fistula can follow surgical removal of an ectopic maxillary canine [17,28].
Paresthesia: When an impacted maxillary canine is located near to the neurovascular bundle, paresthesia may be a sequela of surgery. For instance, if the maxillary canine is impacted palatally, the nasopalatine nerve may be affected, although it rarely presents a problem for the patient [29].
Loss of soft tissue flap: Loss of the soft tissue flap is the result of interruption of the blood supply during surgery or post-operative infection. When a flap is thin it is easy to compromise the blood supply, so careful design and handling of the flap is important. Allowing phosphoric acid etch to come into contact with the soft tissues has been said to adversely affect the vitality of the flap [17,29,30].
Lack of attached gingival: Poor quality gingival mucosa may occur following exposure of a labially impacted maxillary canine. Therefore, the flap design should be cognisant of the need to preserve keratinized tissue [29,30].
The results of this case treatment showed the bilateral impacted maxillary canines were corrected. Acceptable occlusion achieved and the over jet and overbite come to normal [31]. The molar and canine relation were Class I on the both sides. Lateral cephalometric showed overall facial balance was improved. The lip becomes less tension on closure. No signs or symptoms of temporomandibular dysfunction after treatment [32].
Conclusions
Impaction of a maxillary canine is a frequent occurrence and requires a multi-disciplinary approach for proper management. Awareness of the prevalence, aetiology, associated anomalies and techniques for diagnosis allow for early recognition and implementation of interceptive treatment. Planned extraction of a primary canine and radiographic follow-up for 12 months can in selected cases, avoid the need for surgery followed by orthodontic therapy. The retraction of the bilateral impacted maxillary canine occured without loss anchorage in the posterior segment. Patient main complaint about the appereance of her bilateral upper canines due to impacted condition was improved by the treatment. It is concluded that that surgical and orthodontic treatment can be considered as an effective therapy for bilateral impacted canine correction.
References
- Nezar Watted, Emad Hussein, Peter Proff, Aksoy Dodan, Abu-Hussein Muhamad. Surgery of Labially Impacted Canine & Orthodontic Management – A Case Report. Open Journal of Dentistry and Oral Medicine 2017; 5: 1-6. https://goo.gl/Un8FCX
- BorbélyP. Watted N.Dubovská I, Hegedűs V, Abu-Hussein M, Interdisciplinary Approach in the Treatment of Impacted Canines – Review. International Journal of Maxillofacial Research 2015; 1: 116-137. https://goo.gl/DflPt6
- Jacoby H. The etiology of maxillary canine impactions. Am J Orthod. 1983; 84: 125-132. https://goo.gl/xwlKwB
- Abu-Hussein M, Watted N, Abdulgani M, Abdulgani Az. Tooth Auto transplantation; Clinical Concepts. Journal of Dental and Medical Sciences 2016; 15: 105-113. https://goo.gl/ynEyt3
- Cooke J, Wang HL. Canine impactions: incidence and management. Int J Periodontics Restorative Dent. 2006; 26: 483-491. https://goo.gl/Hm35Up
- Watted N, Abu-Hussein M, Awadi O, Watted M, Watted A: Clinical study of impacted maxillary canine in the Arab population in Israel. International Journal of Public Health Research 2014; 2: 64-70.
- Watted N, Abu-Hussein M: Prevalence of impacted canines in Arab Population in Israel. International Journal of Public Health Research 2014; 6: 71-77.
- Watted N, Proff P, Reiser V, Shlomi B, Abu-Hussein M, Shamir D: CBCT; In Clinical Orthodontic Practice: Journal of Dental and Medical Sciences 2015; 2: 102-115. https://goo.gl/XD6qip
- Watted N, Abu-Hussein M, Awadi O, Borbély P: Titanium Button With Chain by Watted For Orthodontic Traction of Impacted Maxillary Canines Journal of Dental and Medical Sciences 2015; 2: 116-127. https://goo.gl/7C3AiO
- Bishara SE. Clinical management of impacted maxillary canines. Semin Orthod 1998; 4: 87-98. https://goo.gl/mifo6M
- Muhamad Abu-Hussein, Nezar Watted, Abdulgani Azzaldeen, Mohammad Yehia, Obaida Awadi, Yosef Abu-Hussein. Prevalence of Malocclusion and Impacted Canine in Arab Israelian Population (Arab48). International Journal of Public Health Research. 2015; (3): 180-191. https://goo.gl/BQbqrz
- Stivaros N, Mandall NA. Radiographic factors affecting the management of upper impacted permanent canines. J Orthod 2000; 27: 169-73. https://goo.gl/XMQBwR
- Ericson S, Kurol J. Longitudinal study and analysis of clinical supervision of maxillary canine eruption. Community Dent Oral Epidemiol. 1986; 14: 172-176. https://goo.gl/HStoJQ
- Ericson S, Kurol J. Early treatment of palatally erupting maxillary canines by extraction of the primary canines. Eur J Orthod. 1988; 10: 283-295. https://goo.gl/g45DLJ
- Stelea C, Popa C, Popescu E, Stelea L. Surgical Orthodontic Treatment of Impacted Canines. Romanian Journal of Oral Rehabilitation.2010; 2: 4: 45-48. https://goo.gl/ABCX5M
- Kokich VG, Mathews DP. Surgical and orthodontic management of impacted teeth. Dent Clin North Am. 1993; 37: 181-204. https://goo.gl/XBLCul
- Becker A. Orthodontic treatment of impacted teeth. 3rd ed. Wiley Blackwell, Oxford, 2012. https://goo.gl/enBc9G
- Jacobs SG. Localization of the unerupted maxillary canine: How to and when to. Am J Orthod Dentofacial Orthop. 1999; 115: 314-322. https://goo.gl/iOR37i
- Richardson G, Russell KA. A review of impacted permanent maxillary cuspids- diagnosis and prevention. J Can Dent Assoc. 2000; 66: 497-501. https://goo.gl/iYGTLm
- Baccetti T, Mucedero M, Leonardi M, Cozza P. Interceptive treatment of palatal impaction of maxillary canines with rapid maxillary expansion: a randomized clinical trial. Am J Orthod Dentofacial Orthop 2009; 136: 657-61. https://goo.gl/MkHJfA
- Power SM, Short MBE. An investigation into the response of palatally displaced canines to the removal of deciduous canines and an assessment of factors contributing to favorable eruption. Br J Orthod. 1993; 20: 215-223. https://goo.gl/9pGjMz
- Orton HS, Garvey MT, Pearson MH, et al. Extrusion of the ectopic maxillary canine using a lower removable appliance. Am J Orthod Dentofacial Orthop 1995; 107: 349-59. https://goo.gl/wQ1uQd
- Felsenfeld AL, Aghaloo T. Surgical exposure of impacted teeth. Oral Maxillofac Surg Clin North Am. 2002; 14: 187-199. https://goo.gl/jJ52Gz
- Shapira Y, Kuftinec MM. Early diagnosis and interception of potential maxillary canine impaction. J Am Dent Assoc. 1998; 129: 1450-1454. https://goo.gl/MdkPVa
- Boyd R. Clinical assessment of injuries in orthodontic movement of impacted teeth, I. Methods of attachment. Am J Orthod. 1982; 82: 478-486. https://goo.gl/yCBFfS
- Becker A, Chaushu S, Success rate and duration of orthodontic treatment for adult patients with palatally impacted maxillary canines. Am J Orthod Dentofacial Orthop. 2003; 124: 509-14. https://goo.gl/wGBCxd
- Cole BO, Shaw AJ, Hobson RS, Nunn JH, Welbury RR, Meechan JG, et al. The role of magnets in the management of unerupted teeth in children and adolescents. International Journal of Paediatric Dentistry 2003; 13: 204-07. https://goo.gl/pYLww6
- Hitchin AD. The impacted maxillary canine. Br Dent J. 1956; 100: 1-12. https://goo.gl/FsOiYf
- Yordanova M, Yordanova S, Vladimirov B. Surgical Uncovering and stimulation of physiological eruption of palatally impacted maxillary canines: case reports. Journal of IMAB. 2011; 17: 114-119. https://goo.gl/F4SE6L
- Kokich V. Surgical and orthodontic management of impacted maxillary canines. American Journal of Orthodontics and Dentofacial Orthopedics 2004; 126: 278-83. https://goo.gl/iUpwXM
- Abu-Hussein Muhamad and Watted Nezar Mini screws: Clinical Application of Orthodontic. RRJDS. 2014; 2: 32-43. https://goo.gl/2gz0FS
- Nezar Watted, Emad Hussein, Obaida Awadi, and Muhamad Abu-Hussein. Transmigration of Impacted Canines: A Report of Two Cases and a Review of the Literature. 2014; 2: 23-32. https://goo.gl/E70M0o
Authors submit all Proposals and manuscripts via Electronic Form!








