Case Report
Computer assisted circular external fixation of periprosthetic supracondylar femur fracture: Case report and literature review
Mehmet Orcun Akkurt1* and Ismail Demirkale2
1Yenimahalle Education and Research Hospital, Department of Orthopaedics, Ankara, Turkey
2Kecioren Health Practice and Research Center, University of Health Sciences, Ankar, Turkey
*Address for Correspondence: Mehmet Orcun Akkurt , Yenimahalle Education and Research Hospital, Department of Orthopaedics, Ankara, Turkey, Tel: +009-050-540-026-79; E-mail: ismaildemirkale@gmail.com
Dates: Submitted: 08 August, 2017; Approved: 12 September, 2017; Published: 15 September, 2017
Citation this article: Akkurt MO, Demirkale I. Computer assisted circular external fixation of periprosthetic supracondylar femur fracture: Case report and literature review. Int J Case Rep Short Rev. 2017;3(3): 053-056.
Copyright: © 2017 Akkurt MO, et al. This is an open access article distributed under the Creative Commons Attribution License, which permits unrestricted use, distribution, and reproduction in any medium, provided the original work is properly cited.
Abstract
The incidence of periprosthetic fractures of the knee is markedly increasing. Fixation options include retrograde intramedullary nailing, open reduction and internal fixation with locked plates and external fixation. We present aperiprosthetic supracondylar femur fracture successfully treated by computer assisted external fixation.
Background
In parallel with increasing number of Total Knee Replacement (TKR) surgeries and with prolonged life expectancy and higher prevalence of osteoporosis, the incidence of periprosthetic fractures of the knee is markedly increasing [1]. After primary TKR, the incidence of periprosthetic femoral fracture is reported to be 0.6% and supracondylar femur fracture is the commonest [2]. The predisposing risk factors are osteopenia, chronic corticosteroid use, inflammatory diseases, patients with pre-existing neurological disorders and significant deformities [3]. Also, although biomechanical studies showed that more than 3 mm of anterior notching obviously reduce flexural and torsional strength thereby may lead to a fracture, Gujarathi et al showed no relationship exist between notching and increased risk of fracture [4,5].
Conservative approach can be chosen for undisplaced and stable fractures or fractures at patients with multiple co-morbidities that preclude a surgical intervention [6]. Albeit revision arthroplasty is the treatment of choice in case of loosened or malaligned prosthesis or in case of insufficient bone stock, many fixation options exist for fractures with well-functioning prosthesis [7]. In brief, these fixation options include retrograde intramedullary nailing, open reduction and internal fixation with locked plates and external fixation. The latter combines some advantages as fracture haematoma preservation, short immobilization period, and reduced infection and implant impingement rates. No matter which fixation technique is used, stable fixation and proper alignment should be achieved in order to prevent motion loss as well as secure the prosthesis.
External fixation is primarily used in damage-control orthopaedics with severe soft tissue injury or bone loss. Additional indications include correction of angulatory or rotator deformities, ligamentotaxis and infected fractures. Moreover, external fixation can be used when rapid stabilization is required and when joint stiffness has to be prevented. Aware of this issue and looking at our belief in terms of minimally invasive osteosynthesis, we report the management and 2-year follow-up of a case with a supracondylar periprosthetic fracture by external fixation. We are unaware of any published reports of such case treated by Computer Assisted Circular External Fixation (CACEF).
Case Report
An 82-year-old woman underwent cemented TKR for gonarthrosis. The prosthesis used was the Rotaglide Total Knee System (RTK) ® (Corin Medical Ltd., UK). She fell in her home, 6 years after her procedure, sustaining a periprosthetic fracture.
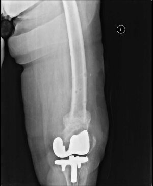
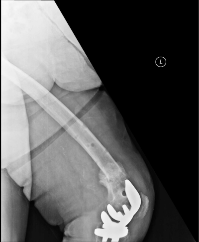
Radiographs demonstrated a fracture at the supracondylar region of the femur with significant displacement and well-functioning prosthesis (Figures 1 and 2). According to Rorabeck classification this fracture was classified as type two.8 Internal fixation was planned, however, due to multiple co-morbidities and relatively high risk of anaesthesia, a decision was made to manage the fracture by external fixation.
Figure 1: The preoperative AP (1) and lateral (2) x-rays of the patient demonstrating a Rorabeck type 2 supracondylar displaced periprosthetic fracture
Figure 2: X-rays of the patient demonstrating a Rorabeck type 2 supracondylar displaced periprosthetic fracture
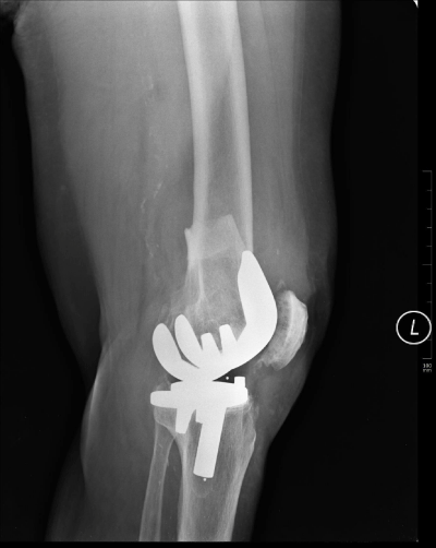
With the patient under Laryngeal Mask Airway (LMA) anesthesia, a CACEF System (The Smart Correction ®) was applied (Figure 3). The fixator was performed with the patient in the supine position under image-intensification guidance. Two half-pins and a tensioned wire were inserted through the distal ring and distal to the fracture line. Two half-pins were inserted into the proximal ring and proximal to the fracture line. The device consisted of 6-strut construct for connection of special frames. We didn’t make any effort for reduction intra operatively. So operative time was just 35minutes. The patient tolerated surgery well and made rapid recovery postoperatively.
Figure 3: Radiograph showing the management of the fracture by computer assisted circular external fixation.
We made computer assisted frame adjustments postoperatively very quickly and she began passive and active range-of-motion (ROM) exercises and partial weight bearing with crutches on the postoperative next day. She was instructed to increase weight bearing and ROM exercises as tolerated. She was discharged from hospital after the maintenance of stability and followed up in routine manner with monthly intervals. The fixator was removed 12 weeks later after sufficient callus formation was noted on radiographs and partial weight bearing protocol was used for protection for an additional two weeks (Figures. 4 and 5). After one year, she had 0-120º of motion and was satisfied with the clinical result and had minor complaints such as weakness, numbness related to other co-morbidities.
Discussion
Periprosthetic supracondylar femur fractures occur in approximately 2.5% of patients with a total knee prosthesis [8]. A variety of methods have been used to manage these fractures surgically including internal fixation, intramedullary nailing, external fixation or revision arthroplasty [9]. Decisions are often made on the basis of surgeon comfort level and experience because the literature does not provide conclusive evidence of one treatment being better than another. Recently, locking plates have been popularized due to providing tight fixation but also load sharing properties, however, complication rates of this technique remain high with up to 13% failures [10]. Surgeons still concerned about opening a fracture by using excessive surgical approaches in the presence of a well-functioning prosthesis.
External fixation has been developed and was supposed to deliver a crucial benefit for temporary fixation of open fractures or gradual correction of bony deformities overtime. Review of the literature for external fixation of a supracondylar periprosthetic femur fracture revealed 7 cases in 5 case reports (Table 1) [11-15]. Time from index implantation to fracture had a wide variation, from 10 days to 17 years and 6 of them were female. The only early postoperative complication related to the fixator was pin tract infection that was reported in 3 of 7 cases which was well responded to one week of oral antibiotics. Of them, 5 had excellent result with more than 90º of flexion, which was; seem to be indirectly related to period of fixation. Two patient had moderate result with lower than 90º of flexion due to more than 4 months of a spend time in fixator.
| Table 1: Systematic review of the literature for external fixation of periprosthetic supracondylar femur fractures. *: According to Rorabeck classification. |
||||||
| Authors | Age-Gender | Index Op | Type* | Fixation type | Removal time | ROM |
| Refaat | 54-F | NA | 2 | Spanning EF | 6 weeks | 10-120º |
| Beris | 80-F | 10 years | 2 | Ilizarov | 4 months | 0-85º |
| 84-F | 10 years | 1 | Ilizarov | 6 months | 0-70º | |
| 78-F | NA | 2 | Ilizarov | 6 months | 0-100º | |
| Hurson | 60-F | 10 days | 2 | Ilizarov | 10 weeks | 0-120º |
| Simon | 65-F | 17 years | 2 | Ilizarov | 10 weeks | 0-110º |
| Pafilas | 83-M | 10 years | 2 | Ilizarov | 10 weeks | 0-100º |
In the case of an elderly patient with medical comorbidities, early mobilization is important to reduce the risk of complications associated with prolonged recumbences and to maintain range of motion of the total knee replacement. In these cases, external fixator is a rational treatment option that a surgeon should always have in mind for the management of periprosthetic femoral fracture. This method is most promising because it is minimally invasive with very low intraoperative blood loss and minimal patient discomfort. It provides stable fixation, prompt postoperative mobilization and has no major complications. The deformity at the fracture site can be corrected 3-dimensionally. There is a little risk of surgical damage or transfusion. Immediate postoperative weight bearing is possible. Ilizarov external fixation is not time consuming. It gives postoperative capability for correction of malalignment. However, this technique may not be easy to apply with surgeons who have not adequate experience with it.
One of the concerns associated with the use of external fixation devices is that the fixation wires could contaminate the fracture site and result in an infection at the site of the total knee arthroplasty. It may involve the risk of pin tract infections. When an infection develops, it is usually only a pin-track infection that almost always resolves with oral antibiotics and meticulous daily pin site care. Moreover, since metaphyseal bone heals quickly, the device is not expected to be in place for a prolonged time more than twelve weeks, and pin-track problems increase after the fixator has been in place for three months or more. The risk of joint infection can be further minimized by placing the wires 10 to 15 mm proximal to subchondral bone to prevent penetration of the joint capsule. We believe that computer assisted circular fixator systems provide easy and fast application with full and uncomplicated bony healing when fixator removal does not exceed 3 months.
References
- Whitehouse MR, Mehendale S. Periprosthetic fractures around the knee: current concepts and advances in management. Curr Rev Musculoskelet Med. 2014; 7: 136-144. https://goo.gl/FK1Rfe
- Meek RM, Norwood T, Smith R, Brenkel IJ, Howie CR. The risk of peri-prosthetic fracture after primary and revision total hip and knee replacement. J Bone Joint Surg Br. 2011; 93: 96-101. https://goo.gl/FK1Rfe
- Meek RM, Della Rocca GJPeriprosthetic fractures about the knee - an overview. JKnee Surg. 2013; 2: 3-7. https://goo.gl/6BQGry
- Zalzal P, Backstein D, Gross AE, Papini M. Notching of the anterior femoral cortex during total knee arthroplasty characteristics that increase local stresses. J Arthroplasty. 2006; 21: 737-743. https://goo.gl/JiiR8S
- Gujarathi N, Putti AB, Abboud RJ, MacLean JG, Espley AJ, Kellett CF. Risk of periprosthetic fracture after anterior femoral notching. Acta Orthop. 2009; 80: 553-556. https://goo.gl/M4cjE5
- Märdian S, Wichlas F, Schaser KD, Matziolis G, Füchtmeier B, Perka C, et al. Periprosthetic fractures around the knee: update on therapeutic algorithms for internal fixation and revision arthroplasty. Acta Chir Orthop Traumatol Cech. 2012; 79: 297-306. https://goo.gl/6w3uhQ
- Sarmah SS, Patel S, Reading G, El-Husseiny M, Douglas S, Haddad FS. Periprosthetic fractures around total knee arthroplasty. Ann R CollSurg Engl. 2012; 94: 302-307. https://goo.gl/hH4a1m
- Ruchholtz S, Tomás J, Gebhard F, Larsen MS. Periprosthetic fractures around the knee-the best way of treatment. Eur Orthop Traumatol. 2013; 4: 93-102. https://goo.gl/sgBMTf
- Su ET, DeWal H, Di Cesare PE. Periprosthetic femoral fractures above total knee replacements. J Am AcadOrthop Surg. 2004; 12: 12-20. https://goo.gl/b2jAJN
- , Fulkerson E, Tejwani N, Stuchin S, Egol K. Management of periprosthetic femur fractures with a first generation locking plate. Injury. 2007; 38: 965-972. https://goo.gl/fdAXJN
- , Refaat M, Coleman S, Meehan JP, Jamali AA. Periprosthetic supracondylar femur fracture treated with spanning external fixation. Am J Orthop (Belle Mead NJ). 2015; 44: 90-93. https://goo.gl/thgKzm
- Beris AE, Lykissas MG, Sioros V, Mavrodontidis AN, Korompilias AV. Femoral periprosthetic fracture in osteoporotic bone after a total knee replacement: treatment with Ilizarov external fixation. J Arthroplasty. 2010; 25: 11689-116812 https://goo.gl/TcrduV
- Hurson C, Synnott K, McCormack D. Above-knee Ilizarov external fixation for early periprosthetic supracondylar femoral fracture--a case report. Knee. 2005; 12: 145-147. https://goo.gl/MFe6Dn
- Simon RG, Brinker MR. Use of Ilizarov external fixation for a periprosthetic supracondylar femur fracture. J Arthroplasty. 1999; 14: 118-121. https://goo.gl/nTHbrS
- Pafilas D, Kourtzis N. Hybrid external fixation as a new treatment method for periprosthetic femoral fracture. A case report. J Bone Joint Surg Am. 2006; 88: 188-192. https://goo.gl/fYFzcn
Authors submit all Proposals and manuscripts via Electronic Form!



